N.Y.Bayramov, R.A.Məmmədov
BADDİ-KİARİ SİNDROMU
Tərifi
Qaraciyərin venoz qan axınını ləngidən xəstəliklər tıxanma səviyyəsinə görə üç qrupa ayrılır.
Birinci qrup, sinus və kiçik venaların trombozu və sklerozu ilə xarakterizə olunan venookluziv xəstəliklər adlanır.
Böyük qaraciyər venalarının tıxanması nəticəsində meydana gələn venoz durğunluq Baddi-Kiari sindromu adlanır. Baddi-Kiari sindromunda qaraciyər venaları ilə yanaşı aşağı boş venada da tıxanma ola bilir.
Ekstrahepatik venostaz adlanan üçüncü qrupda isə, qaraciyərüstü aşağı boş venada qan axını əngəllənir. Sağ ürək yetməzliyi, konstruktiv perikardit, aşağı boş vena daralmaları (tromboz, membran, fibroz, şiş və s.) bu qrupa aiddir. Baddi-Kiari sindromundan fərqli olaraq, ekstrahepatik venostazda qaraciyər venaları nəinki açıq olur, hətta genişlənir.

Şəkil 1. Qc-də venoz durğunluqların növləri
Səbəbləri
Baddi-Kiari sindromunun səbəbləri arasında ən çox rast gəlinəni aşağıdakılardır:
- tromboz
- fibroz
- membran
- infiltrasiya (şişlər, iltihab)
Asiya ölkələrində ən çox rast gələn səbəbi venalardakı membrandır (xəstələrin 1/3-ində). Avropa ölkələrində isə, mieloproliferativ xəstəliklər (polisitemiya vera, limfoma) çox rast gəlir.
Trombofiliya vəziyyətlər arasında protein C, S defisiti, antilupus anticisimləri, Leyden mutasiyası, kontraseptiv dərmanların istifadəsi çox rast gəlinir.
Patogenezi
Qc venalarının tıxanması nəticəsində meydana gələn venoz durğunluq Qc-də və bir çox patoloji dəyişikliklərə səbəb olur:
- Kəskin hepatit - hepatomeqaliya, ağrı və assit ən erkən dəyişiklərdir.
- Nekroz ( kəskin qaraciyər yetməzliyi).
- Hepatosellulyar disfunksiya.
- Fibroz və sirroz.
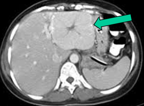
- Birinci və VI seqmentin hipertrofiyası (bu seqmentlərin bəzi venaları birbasa boş venaya açıldıqları üçün bu seqmentlərin funksiyaları saxlanılır, hətta hipertrofiyaya məruz qalır).
Gedişi və klinikası
Gedişinə görə dörd klinik forması qeyd edilir: fulminant, kəskin, xroniki və subklinik.
- Fulminant forma kəskin qaraciyər yetməzliyi ilə büruzə verir: əlamətlər kəskin ortaya çıxır, massiv qaraciyər nekrozu baş verir və bir neçə gün ərzində kəskin qaraciyər yetməzliyi meydana gəlir: ensefalopatiya, koaqulopatiya, sarılıq, ağır ümumi vəziyyət. Müalicə olunmazsa 2-3 həftə ərzində ölümə səbəb olur.
- Kəskin forma kəskin hepatit və refrakter assit şəkilində büruzə verir: ağrı, hepatomeqaliya və assitlə yanaşı zəif sarılıq, ürəkbulanma əlamətləri görünür, Qc yetməzliyi (koaqulopatiya, hipoalbuminemiya, yüksək sarılıq, ensefalopatiya) tədricən inkişaf edir. Müalicə olunmazsa bir neçə həftə ərzində ölümə və ya sirroza səbəb ola bilər.
- Xronik forma əsasən sirroz əlamətləri ilə büruzə verir: assit və portal hipertenziya əlamətləri ön plana çıxır. Bunlarda birinci seqment hipertrofiyası görünə bilir.
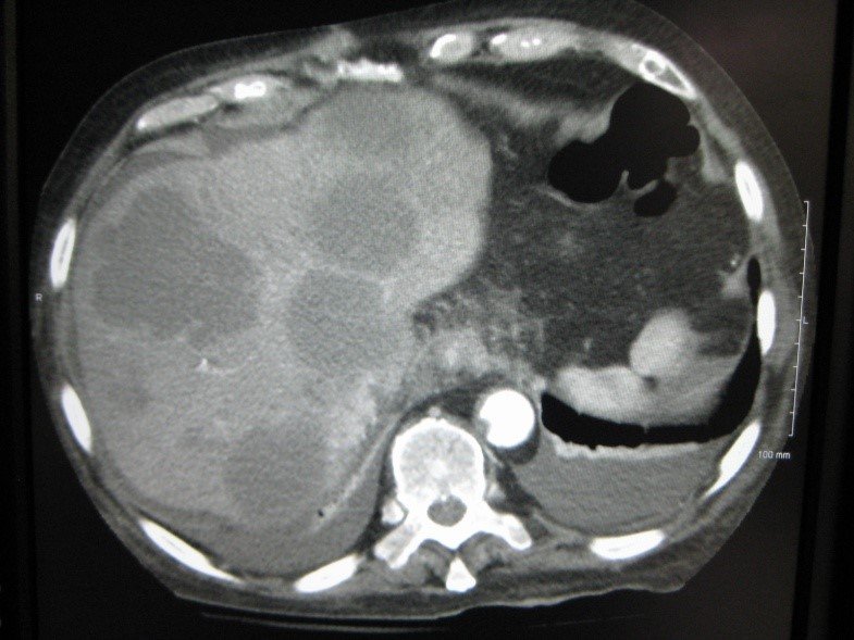
- Asimptomatik və ya subklinik forma sirroz inkişaf edənə qədərki dövrü əhatə edir (bu mərhələ aylar, bəzən də uzun illər davam edə bilir), adətən təsadüfi müayinələrdə tapılır. Bu xəstələrin müayinəsində Qc venalarının birinin kompensator genişlənməsi və geniş kollateral damarlar təyin edilir.
Baddi-Kiari sindromu ilə yanaşı aşağı boş vena tıxanması olarsa xəstədə aşağı boş vena sindromu adlanan əlamətlər də ortaya çıxır: ətraflarda şişkinlik, kaval tipli kollaterallar və s.
Diaqnostikası
Şübhə
Aşağıdakı əlamətlər Baddi-Kiari sindromuna şübhə yaradır:
- Kəskin qaraciyər yetməzliyi (sarılıq, koaqulopatiya, ensefalopatiya və Qc enzimlərində yüksəlmə)
- Kəskin hepatit (kəskin qanın ağrısı, ağrılı hepatomeqaliya, assit, qaraciyər enzimlərində yüksəlmə)
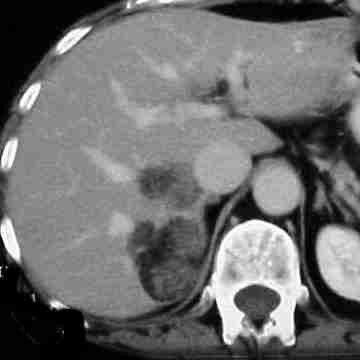
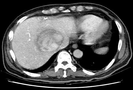
- Görüntüləmədə I seqment hipertrofiyası (yüksək şübhə əlaməti)
- Sirroz
- Refrakter assit
- Assitik mayedə proteinin yüksək olması
Dəqiqləşdirmə
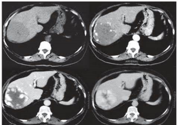
- Diaqnozu dəqiqləşdirmək üçün Qc venaları yoxlanılmalıdır. Bunun üçün dopler USM, KT-angioqrafiya, MRT-angioqrafiyalar və ya kontrastlı venoqrafiya edilir.
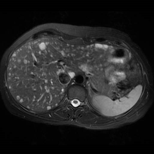
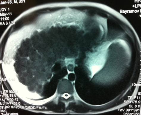
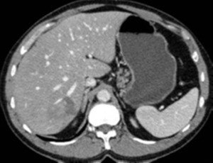
- Görüntüləmədə Qc venalarının trombotik tutulması diaqnozu dəqiqləşdirən əlamətdir.
Diaqnostik kriteriyalar:
- Kəskin qaraciyər yetməzliyi və ya kəskin hepatit və refrakter assit və ya sirroz və ya asimptomatik
- Görüntüləmədə qaraciyər venalarının tıxanması
Diaqnoz dəqiqləşdikdən sonra səbəbin axtarışı, Qc-in vəziyyəti və aşağı boş venada tıxanma olub-olmadığı araşdırılır.
Müalicəsi
Baddi – Kiari sindromunun müalicəsi dörd əsas prinsip üzərində qurulur:
- Trombozun artmasının qarşısını alma
- Əsas xəstəliyin müalicəsi
- Qc-də geriyədönməz dəyişiklikləri qabaqlamaq üçün venoz durğunluğu
- Ağırlaşmaların müalicəsi
Əsas xəstəlik müalicə olunursa və ya nəzarət altına alına bilirsə, cərrahi müalicə ilk planda tutulur (porto – kaval yanyollar və transplantasiya):
- fulminant formada və sirrozda Qc transplantasiyası edilir
- kəskin formada və qaraciyər funksiyası saxlanılan xronik formada porto – kaval yanyollar (cərrahi və ya TİPS) və aşağı boş vena tıxanması varsa PKYY ilə birlikdə venanın endovaskulyar və ya cərrahi genişləndirilməsi.
- asimptomatik formada müşahidə.
Əsas xəstəlik müalicə olunmursa və ya nəzarət altına alınmırsa simptomatik müalicə edilir.
PORTAL VENA TROMBOZU
Tərifi
Portal vena trombozu (PVT) qapı venasının özündə və ya böyük şaxələrində (çöz və dalaq venaları, sağ və sol Qc şaxələri) kəskin və ya xroniki şəkildə ortaya çıxan, tam və ya hissəvi trombotik tıxanmadır.
Təsnifatı
|
Yerinə görə
|
Əsas şaxə
Qaraciyərdaxili şaxələr
Dalaq venası
Çöz venası
|
|
Mərhələsinə görə
|
Kəskin (tromboz)
Xroniki (kavernoma)
Ağırlaşma
Retromboz
|
|
Tıxanma dərəcəsinə görə
|
Tam
Hissəvi
|
|
Qaraciyərin vəziyyətinə görə
|
Normal Qc
Parenxima xəstəliyi
|
Səbəbləri
Portal vena trombozu uşaqlardakı portal hipertenziyanın ən çox rast gələn səbəbini (~50%), böyüklərdəkinin isə təxminən 10-15%-ni təşkil edir. Ən çox rast gələn səbəbləri:
- durğunluq (sirroz, şişlər)
- trombofiliya (mieloproliferativ, trombofilik, iltihabi, infeksion, neoplastik və digər xəstəliklər)
- damar zədələnməsi (tibbi müdaxilələr: splenektomiyadan sonra 5-20%, varikoz vena skleroterapiyasından sonra - 40-60%)
Uşaqlarda ən çox rast gələn səbəb göbək venasının infeksiyasıdır, böyüklərdə isə sirroz və tibbi müdaxilələr ilk sırada durur.
Gedişi və klinikası
Portal vena trombozu yerinə görə 3 şəkildə ortaya çıxır: ana portal vena (ekstrahepatik), intrahepatik şaxə və dalaq venası trombozu.
- Ekstrahepatik qapı venası trombozunun gedişində kəskin (tromboz), xroniki (rekanalizasiya və kavernoma), ağırlaşma və retromboz fazalarını qeyd etmək olar.
- Kəskin faza trombun formalaşması ilə xarakterizə olunur və ilk 4-6 həftəni əhatə edir. Klinik olaraq kəskin hepatit əlamətləri ilə büruzə verir (ağrı, sarılıq, assit), bəzən əsas xəstəliyin əlamətləri fonunda baş verir, bəzən də zəif simptomatik ola bilər.
- Xroniki fazada trombun “əriməsi”, rekanalizasiya və fibroblastların inkişafı ilə vena mənfəzində kavernoz transformasiya baş verir və kollaterallar inkişaf Bu mərhələdə xəstələr asimptomatik ola bilərlər (təsadüfi müayinələrdə splenomeqaliya, portal venanın kavernoz transformasiyası, mədə və QB varikozu tapılır) və ya portal hipertenziya əlamətləri ortaya çıxa bilər.
- Təkrari tromboz PVT-nin xarakterik xüsusiyyətidir, kəskin faza əlamətləri ortaya çıxır.
- Ekstrahepatik trombozun gedişində qaraciyərin vəziyyəti və portal hipertenziya əsas rol oynayır: qaraciyəri normal olan xəstələrdə gediş nisbətən xoşxassəlidir, sirroz və törəmələrdə gediş daha ağır olur.
- Qc-daxili şaxələrin trombozu daha dramatik şəkildə – Qc nekrozu şəklində ortaya çıxır. Hər iki şaxənin trombozu ağır Qc yetməzliyi törədir. Belə hal sirrozda və hepatosellular karsinomada çox rast gəlir.
- Dalaq venası trombozu ədəbiyyatlarda soltərəfli, hissəvi portal hipertenziya da adlanır. Əsas nəticəsi splenomeqaliya, mədə fundal varikozların inkişafı, hipertenziv qastropatiya və qanaxmadır.
Ağırlaşmaları
- Assit
- Portal hipertenziya
- Splenomeqaliya
- Qaraciyər nekrozu, atrofiyası
Diaqnostikası
Şübhə
Aşağıdakı vəziyyətlər portal vena trombozuna şübhə yaradır:
- Sarılıq, assit və splenomeqaliyanın birdən-birə ortaya çıxması,
- Qc enzimlərinin kəskin artması
- Stabil gedən sirrozda, HSK-da, müdaxilələrdən sonra (splenektomiya, skleroterapiya), septik xəstələrdə, infeksiyalarda xəstədə kəskin sarılıq, assit, splenomeqaliya, hətta mədə-bağırsaq qanaxması.
- Normal qaraciyər fonunda portal hipertenziya.
Dəqiqləşdirmə
PVT diaqnozunu dəqiqləşdirmək üçün portoqrafiya aparılır – Doppler USM, KT və ya MRT angioqrafiya.
Diaqnostik əlamətləri
- Portal hipertenziya, qaraciyər yetməzliyi əlamatləri, asimptomatik
- Kontrastlı müayinələrdə damarda tromb və ya kavernoz transformasiya
Səbəbin təyini
İlk növbədə qaraciyərdə, qarın boşluğunda neoplastik və iltihabi xəstəliklər yoxlanılır. Bunun üçün kontrastlı KT ilk seçimdir. Qaraciyər sirrozu, neoplastik və iltihabi xəstəliyi olmayanlarda ikinci pillə müayinələrlə mieloproliferativ və trombofilik vəziyyətlər araşdırılır.
Müalicəsi
PVT-nun həlledici müalicəsi tıxanmanın və səbəbin aradan qaldırılmasıdır. Bu mümkün olmadıqda tədbirlər əsasən PH-ın müalicəsinə yönəldilir.
- Kəskin dövrdə əks-göstəriş yoxdursa (qanaxma və digər) antikoaqulyant müalicə başladılır (3 – 6 ay). Bu məqsədlə kiçik molekullu heparinlər, varfarin və ya yeni oral antikoaqulyantalar (ksabanlar) verilə bilər.
- Xronik mərhələdə asimptomatik gedişli xəstələrdə müşahidə məsləhət görülür. Trombofiliyası olan xəstələrdə uzunmüddətli antikoaqulyant müalicə verilir. Ağırlaşmalara uyğun müalicələr seçilir. Soltərəfli PVT-də (dalaq venası trombozunda) ən effektiv müalicə splenektomiyadır.
Özət
Qaraciyərin venoz qan axınını ləngidən xəstəliklər tıxanma səviyyəsinə görə üç qrupa ayrılır.
Birinci qrup, sinus və kiçik venaların trombozu və sklerozu ilə xarakterizə olunan venookluziv xəstəliklər adlanır.
Böyük qaraciyər venalarının tıxanması nəticəsində meydana gələn venoz durğunluq Baddi-Kiari sindromu adlanır. Baddi-Kiari sindromunda qaraciyər venaları ilə yanaşı aşağı boş venada da tıxanma ola bilir.
Ekstrahepatik venostaz adlanan üçüncü qrupda isə, qaraciyərüstü aşağı boş venada qan axını əngəllənir. Sağ ürək yetməzliyi, konstruktiv perikardit, aşağı boş vena daralmaları (tromboz, membran, fibroz, şiş və s.) bu qrupa aiddir. Baddi-Kiari sindromundan fərqli olaraq, ekstrahepatik venostazda qaraciyər venaları nəinki açıq olur, hətta genişlənir.
Baddi-Kiari sindromu böyük qaraciyər venalarının tıxanması nəticəsində meydana gələn venoz durğunluqdur, qaraciyər venaları ilə yanaşı aşağı boş venada da tıxanma ola bilir. Tromboz, fibroz, membran və infiltrasiya (şişlər, iltihab) ən çox rast gələn səbəbləridr. Erkən mərhələlərdə kəskin hepatit və kəskin qaraciyər yetməzliyi, xroniki mərhələdə sirroz və PH meydana gələ bilir. Diaqnozu üçün tomoqrafiya və kontrastlı angioqrafiya lazım gəlir, Qc venalarının trombotik tutulması diaqnozu təsdiqləyir. digər xarakterik əlaməti birinci seqmentin hipertrofiyasıdır. Erkən mərhələdə dekompressiya (cərrahi və stend) sirroz əmələ gəldikdə isə transplantasiya ön planda tutulur.
Portal vena trombozu qapı venasının özünün və ya böyük şaxələrinin trombotik tıxanmasıdır, durğunluq, trombofiliya və tibbi müdaxilələr ən çox rast gəlinən səbəbləridir. Yerinə görə 4 forması var: ana portal vena (ekstrahepatik), intrahepatik şaxə, dalaq venası və çöz venası. Ekstrahepatik formanın kəskin fazası (tromboz) kəskin hepatit, xroniki fazası (kaverna) isə PH əlamətləri ilə büruzə verir. İntrahepatik formada qaraciyər nekrozu meydana gəlir. Dalaq venası trombozunda splenomeqaliya, hipersplenizm və fundal varikozlar baş verir, çöz venası trombozu bağırsaq qanqrenasına səbəb olur. Diaqnozunu təyin etmək üçün kontrastlı müayinələr lazım gəlir, damarda trombun və ya kavernoz transformasiyanın görünməsi diaqnozu dəqiqləşdirir. Ekstrahepatik formada antikoaqulyant və PH müalicəsi, dalaq venası trombozunda splenektomiya, çöz venası trombozunda rezeksiya və embolektomiya, intrahepatik formada rezeksiya və ya transplantasiya gərəkə bilir.
Damar xəstəlikləri üzrə suallar
N.Y.Bayramov, A.K.Səfiyeva, Ş.Ə.Məmmədova
Baddi-Kiari sindromu (Budd Chiari)
|
Suallar
|
Cavablar
|
|
Baddi-Kiari sindromu nədir?
|
Böyük qaraciyər venalarının (bəzən aşağı boş venanın da) tıxanması nəticəsində meydana gələn venoz durğunluqdur
|
|
Hansı klinik formaları var?
|
Fulminant, kəskin, xroniki və subklinik;
|
|
Səbəbi və ya risk faktorları nələrdir?
|
- Tromboz;
- Fibroz;
- Membran;
- Infiltrasiya (şişlər, iltihab);
|
|
Patogenezi nədən ibarətdir?
|
Kəskin hepatit → Nekroz → Hepatosellulyar disfunksiya → Fibroz və sirroz → I və VI seqmentin hipertrofiyası
|
|
Gediş xüsusiyyəti necədir?
|
Fulminant forma – Qc yetməzliyi əlamətləri kəskin ortaya çıxır, massiv nekroz baş verir;
Kəskin forma – Qc yetməzliyi tədricən inkişaf edir;
Bold xroniki forma – qaraciyər sirrozu və portal hipertenziya
|
|
Ağırlaşmaları nələrdir?
|
Kəskin qaraciyər yetməzliyi
Kəskin işemik hepatit
Qaraciyər sirrozu
Portal hipertenziya
Aşağı boş vena sindromu
|
|
Klinik əlamətləri hansılardır?
|
Fulminant forma – kəskin qaraciyər yetməzliyi:
- Ensefalopatiya;
- Koaqulopatiya;
- Sarılıq;
- Ağır ümumi vəziyyət;
Kəskin forma – kəskin hepatit və refrakter assit:
- Ağrı;
- Hepatomeqaliya;
- Assitlə yanaşı zəif sarılıq;
- Ürəkbulanma;
Xronik forma – əsasən sirroz əlamətləri:
- Assit;
- Portal hipertenziya əlamətləri;
Subklinik forma – asimptomatik;
Yanaşı aşağı boş vena tıxanması olarsa – aşağı boş vena sindromu əlamətləri:
- ətraflarda şişkinlik;
- kaval tipli kollaterallar;
|
|
Hansı xəstələrdə şübhələnmək lazımdır?
|
- Kəskin qaraciyər yetməzliyi;
- Kəskin hepatit;
- Görüntüləmədə I seqment hipertrofiyası (yüksək şübhə əlaməti);
- Sirroz;
- Refrakter assit;
- Assitik mayedə proteinin yüksək olması;
|
|
Dəqiqləşdirmək üçün hansı müayinələr lazımdır?
|
Qc venaları yoxlanılmalıdır:
- Doppler USM;
- KT-angioqrafiya;
- MRT-angioqrafiya;
- Kontrastlı venoqrafiya;
|
|
Laborator əlamətləri nələrdir?
|
Qaraciyər disfunksiyası əlamətləri
|
|
Görüntlüləmə əlamətləri nələrdir?
|
Qaraciyər venalarının görünməməsi, kontrastlaşmaması və ya trombla tıxanması.
|
|
Digər müayinələrdə nə tapılır?
|
Assit, elastoqrafiyada qaraciyər sıxlığının arması, kəskin formada hepatomeqaliya
|
|
Diaqnostik kriteriyalarını sadala?
|
- Klinik əlamətlər;
- Görüntüləmədə qaraciyər venalarının tıxanması, I seqment hipertrofiyası ola bilər (xroniki forma);
|
|
Müalicə prinsipləri hansılardır?
|
4 əsas prinsip:
- Trombozun artmasının qarşısını alma;
- Əsas xəstəliyin müalicəsi.
- Qc-də geriyədönməz dəyişiklikləri qabaqlamaq üçün venoz durğunluğu azaltmaq;
- Ağırlaşmaların müalicəsi;
|
|
Müalicə üsulları hansılardır?
|
- Cərrahi – əsas xəstəlik müalicə oluna və ya nəzarət altına alına bilirsə;
- Müşahidə - asimptomatik forma;
- Simptomatik - əsas xəstəlik müalicə olunmursa və ya nəzarət altına alınmırsa;
|
|
Əməliyyata göstərişlər nələrdir?
|
- Qc transplantasiyası - fulminant forma və sirrozda;
- Porto-kaval yanyollar – kəskin formada və qaraciyər funksiyası saxlanılan xronik formada;
- PKYY ilə birlikdə venanın endovaskulyar və ya cərrahi genişləndirilməsi – aşağı boş vena tıxanması varsa;
|
|
Əməliyyat üsulları hansılardır?
|
Porto-kaval yanyollar və transplantasiya
|
|
Proqnozu nədir?
|
- Fulminant forma bir neçə gün ərzində kəskin qaraciyər yetməzliyi meydana gəlir. Müalicə olunmazsa 2-3 həftə ərzində ölümə səbəb olur;
- Kəskin forma Müalicə olunmazsa bir neçə həftə ərzində ölümə və ya sirroza səbəb ola bilər;
|
|
Xəstəliyin ən xarakterik özəlliyini bir cümlə ilə necə ifadə edərsiniz?
|
Buddi-Kiari sindromunda porto-kaval yanyollar və qaraciyər transplantasiyası ön planda tutulmalıdr.
|
Portal vena trombozu – PVT
|
Suallar
|
Cavablar
|
|
Portal vena trombozu nədir?
|
Qapı venasının özündə və ya böyük şaxələrində (çöz və dalaq venaları, sağ və sol Qc şaxələri) kəskin və ya xroniki şəkildə ortaya çıxan, tam və ya hissəvi trombotik tıxanmadır.
|
|
Rastgəlmə tezliyi nə qədərdir?
|
Portal vena trombozu uşaqlardakı portal hipertenziyanın ən çox rast gələn səbəbini (~50%), böyüklərdəkinin isə təxminən 10-15%-ni təşkil edir.
|
|
Hansı klinik formaları var?
|
- əsas portal vena (ekstrahepatik) trombozu;
- intrahepatik şaxə trombozu;
- dalaq venası trombozu - soltərəfli, hissəvi portal hipertenziya;
|
|
Səbəbi və ya risk faktorları nələrdir?
|
- durğunluq (sirroz, şişlər);
- trombofiliya (mieloproliferativ, trombofilik, iltihabi, infeksion, neoplastik və digər xəstəliklər);
- damar zədələnməsi (tibbi müdaxilələr: splenektomiyadan sonra 5-20%, varikoz vena skleroterapiyasından sonra - 40-60%);
- Uşaqlarda göbək venasının infeksiyası;
|
|
Patogenezi nədən ibarətdir?
|
Durğunluq, trombofiliya və damar zədələnməsi tromoza səbəb olur.
|
|
Gediş xüsusiyyəti necədir?
|
Kəskin (tomboz), xroniki (kavernoz transformasiya) və retromboz fazaları var, nəticələri yerindən asılıdr.
|
|
Ağırlaşmaları nələrdir?
|
- Assit;
- Portal hipertenziya;
- Splenomeqaliya;
- Qaraciyər nekrozu, atrofiyası;
|
|
Klinik əlamətləri hansılardır?
|
- Kəskin faza - kəskin hepatit əlamətləri: ağrı, sarılıq, assit, bəzən də zəif simptomatik;
- Xroniki faza – asimptomatik və ya portal hipertenziya əlamətləri;
- Təkrari tromboz – kəskin faza əlamətləri;
- Qc-daxili şaxələrin trombozu – qaraciyər nekrozu,ağır qaraciyər yetməzliyi;
- Dalaq venası trombozu splenomeqaliya, mədə fundal varikozların inkişafı, hipertenziv qastropatiya və qanaxma əlamətləri;
|
|
Hansı xəstələrdə şübhələnmək lazımdır?
|
- Sarılıq, assit və splenomeqaliyanın birdən-birə ortaya çıxması;
- Qc enzimlərinin kəskin artması;
- Stabil gedən sirrozda, HSK-da, müdaxilələrdən sonra (splenektomiya, skleroterapiya), septik xəstələrdə, infeksiyalarda xəstədə kəskin sarılıq, assit, splenomeqaliya, hətta mədə bağırsaq qanaxması;
- Normal qaraciyər fonunda portal hipertenziya;
|
|
Dəqiqləşdirmək üçün hansı müayinələr lazımdır?
|
Portoqrafiya – Doppler USM, KT və ya MRT angioqrafiya;
|
|
Görüntlüləmə əlamətləri nələrdir?
|
- portoqrafiyada vena mənfəzində trombun görünməsi;
- venanın distalında genişlənmə və kavernoz transformasiyanın görünməsi;
|
|
Digər müayinələrdə nə tapılır?
|
Qaraciyər disfunksiyası və portal hipertenziya əlamətləri
|
|
Diaqnostik kriteriyalarını sadala?
|
- Portal hipertenziya, qaraciyər disfunksiyası və ya asimptomatik;
- Kontrastlı müayinələrdə damarda tromb və ya kavernoz transformasiya;
|
|
Müalicə üsulları hansılardır?
|
- Səbəbin aradan qaldırılması;
- PH-ın müalicəsi;
- Antikoaqulyant müalicə - kəskin dövrdə əks göstəriş yoxdursa (qanaxma və digər) və trombofilik xəstələrdə;
- Müşahidə - xronik mərhələdə asimptomatik gedişli xəstələrdə;
- Cərrahi – soltərəfli PVT-də (dalaq venası trombozunda) splenektomiya; qanaxmalı xəstələrdə TİPS və ya PKYY, bağırsaq nekrozunda rezeksiya
|
|
Əməliyyata göstərişlər nələrdir?
|
Soltərəfli PVT, qanaxmalar, bağırsaq nekrozu
|
|
Proqnozu nədir?
|
Qaraciyəri normal olan xəstələrdə gediş nisbətən xoşxassəlidir, sirroz və törəmələrdə gediş daha ağır olur.
|
|
Xəstəliyin ən xarakterik özəlliyini bir cümlə ilə necə ifadə edərsiniz?
|
Portal vena trombozu adətən digər xəstəliklərin ağırlaşmasıdır, əksər hallrda konservativ müalicə olunur, müdaxilə nadir hallrda gərəkirğılaşmalr meydan gəldikdə
|