N.Y.Bayramov., T.İ. Ömərov
Təsnifatı
Mədəalti vəzin törəmələri mənşəyinə görə birincili və ikincili ola bilər (Cədvəl 1).
Birincili şişlər axacaq, asinar epiteldən, adacıq hüceyrələrindən və mezenximal toxumalardan inkişaf edirlər. Birincili törəmələrin əksəriyyəti (90%) epiteldən inkişaf edən toxumalı törəmələrdir, az qismi (7%) kistoz neoplaziyalar və adacıq (3%) şişləridir.
Epiteldən inkişaf edən şişlərin əksəriyyəti 90-95% bədxassəli şişlərdir-adenokarsinomalardır, xoş xassəli şişlər-adenomalar nadir rast gəlir (1-2%).
Metastatik şişlər birincili şişlərdən 3 dəfə çox rast gəlir.
Cədvəl 1. MAV töəmələrinin təsnifatı
Mənşəyi
|
Növləri
|
|
Birincili
|
Epitelial
Duktal adenokarsinomalar
Asinar adenokarsinomalar
Sistoadenokarsinoma
Adenomalar
Sistoadenoma
Adacıq şişləri
Bəd xassəli
Xoş xassəli
Hormonal aktiv
Hormonal qeyri-aktiv
Mezenximal
Limfoma
Lipoma
Digər
|
|
Metastatik
|
Süd vəzi
Ağciyər
Melanoma
Yumurtalıq
Digər
|
MƏDƏALT VƏZİ ADENOKARSİNOMASI
Tərifi
MAV adenokarsinoması mədəaltı vəzin axacaq və ya vəzi epitelindən inkişaf edən bəd xassəli törəmələrir
Təsnifatı
|
Yerinə görə
|
|
|
Histologiyasına görə
|
|
|
Klinikasına görə
|
|
|
Mərhələsinə görə
|
- I mərhələ - şiş MAV sərhədindən çıxmır.
- II mərhələ - şiş MAV sərhəddindəki yaxın orqanlara sirayət edir (xoledox, peripankreatik yağ və periton, 12bb).
- III mərhələ - şiş regional limfa düyünlərinə yayılmışdır.
- IV mərhələ - şiş distal metastaz vermiş və ya ətraf orqanlara invaziya etmişdir (dalaq, çöz venası, qapı venası, mədə, yoğun bağırsaq, günəş kötüyü, çöz arteriyası və s.)
|
|
Cərrahi rezektabelliyə görə
|
- Rezektabel – distal metastaz yoxdur, yuxarı çöz arteriyası və venasına invaziya və tromb yoxdur, günəş kötüyünə, qaraciyər arteriyası tutulumu yox, peritoneal karsoinomatoz yoxdur.
- Ara mərhələ - distal metastaz yoxdur, yuxarı çöz venasına invaziya var.
- Qeyri-rezektabel – distal metastaz var, böyük damarlara invaziya – yuxarı çöz arteriyasına, günəş kötüyünə, qaraciyər arteriyasına invaziya və ya yuxarı çöz venasına böyük invaziya və trombozu var, peritoneal karsinomatoz var.
|
Rastgəlməsi
- Mədəaltı vəzin adenokarsinoması birincili pankreas şişlərinin 80%-ni təşkil edir, mədə-bağırsaq şişləri arasında kolorektal və mədə şişlərindən sonra ən çox rast gələn törəmələrdir.
- Ən çox kişilərdə və 60-70 yaşlarda rast gəlir.
Risk faktorları
- Siqaret
- Alkoqolizm
- Çox yağlı qidalanma
- Xroniki pankreatit
- Şəkərli diabet
- Genetik
Morfologiyası
- Adenokarsinomaların təxminən 80%-i axacaq mənşəli bəd xassəli törəmələrdir.
- Əksər hallarda (70%) baş nahiyəsində, 20% cisim və quyruq nahiyəsində, 10% hallarda isə diffuz şəkildə yerləşir.
Gedişi, mərhələləri, ağırlaşmaları
- Adenokarsinomalar lokal invaziya, portal vena və limfa yolu ilə yayılmağa meyillidirlər.
- Lokal invaziya və portal yayılma çox rast gəlir (perinevral invaziya, peritona və qaraciyərə)
- Ekstraabdominal orqanlar içərisində ən çox ağciyərlərə metastaz verirlər.
- Cismində, quyruğunda və ya diffuz yerləşən şişlər klinik biruzə verdikləri vaxt artıq yerli və distant yayılmış olurl Baş nahiyəsində yerləşən şişlər isə sarılıq əlaməti ilə biruzə verdikləri vaxt 85-90% halda geniş yayılma göstərirlər.
Mərhələləri
Mərhələnin təyinində TNM təsnifatı istifadə edilr və yayılmasına görə 4 mərhələsi qeyd edilir (qısa şəkildə):
- I mərhələ - şiş MAV sərhədindən çıxmır.
- II mərhələ - şiş MAV sərhəddindəki yaxın orqanlara sirayət edir (xoledox, peripankreatik yağ və periton, 12bb), və ya yerli limfa düyünlərinə yayılması var, lakin günəş kötüyünə, yuxarı çöz arteriyasına, aşağı boş vena və aortaya invaziya yoxdur.
- III mərhələ - şiş günəş kötüyünə, yuxarı çöz arteriyasına, aşağı boş vena və aortaya invaziya etmişdir
- IV mərhələ-şiş distal metastaz vermişdir.
Ağırlaşmaları
- Sarılıq
- 12bb obstruksiyası
- Mədə-bağırsaq qanaxması
- Dalaq və portal vena trombozu
- Retension kistlər
- Digər
Klinikası
- Başlanğıcda əlamətlər zəif olur
- Törəmə inkişaf etdikcə kütlə effektinə (obturasiya, invaziya, işğal), anormal funksiyaya (paraneoplastik sindrom), şişə reaksiyaya bağlı klinik əlamətlər meydana gəlir.
- Ən çox rast gələn əlamətləri:
- Ağrı (90%)
- Arıqlama (60%)
- Sarılıq (50-90%)
- Anoreksiya, zəiflik, bulantı, qusma, disfagiya
- Miqrator tromboflebit (Trousseaus simptomu)
- Ağrısız mexaniki sarılıq və öd kisəsinin palpasiya olunması (Kurvuase sipmtomu) baş nahiyyəsindəki törəmələrin xarakterik əlamətidir (90%). Cisimdə yerləşən törəmələr qaraciyərə və qapı limfa düyünlərinə metastaz verdikdə sarılıq ola bilir.
- Cisim və quyruqda yerləşən törəmələrdə arıqlama və ağrı çox rast gəlir.
Diaqnostikası
Şübhə
Epiqastral ağrısı, kütləsi, arıqlaması olan yaşlı xəstələrdə, mexaniki sarılıqda pankreas törəməsi unudulmamalıdır.
- USM-də pankreasda kütlə, sist
- CA – 19 – 9 artması
- Yaşlı xəstələrdə kəskin pankreat
Dəqiqləşdirmə
Pankreas adenokarsinomasına şübhə olan xəstələrdə klinik, laborator və görüntüləmə müayinələri aparmaq lazımdır.
- Laborator müayinələr spesifik deyil:
- Xolestaz göstəricilərində (bilirubin, QF, QQT) və qaraciyər enzimlərində artma ola bilər.
- Şiş markerlərindən CA – 19 – 9 artması xarakterikdir, şişin kütləsinə parallel artar (90% həssaslıq, 70% spesifiklik).
- Görüntüləmə üsulları diaqnostikada və mərhələnin təyinində önəmlidir.
- USM ilkin müayinədir, 2 sm-dən böyük törəmələrdə 70%, kiçiklərdə 30% həssalıq göstərir.
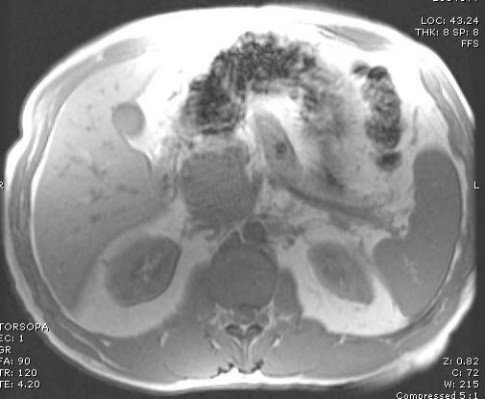
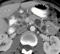
- Kontrastlı KT və ya MRT standart müayinədir, şişi və yayılma dərəcəsini müəyyənləşdirilməsində önəmlidir.
- Endoskopik USM kiçik törəmələrin və limfatik yayılmanın təyinində KT-dən daha həssasdır və mərhələnin təyini üçün istifadə edilə bilər.
- Diaqnostik laparoskopiya peritoneal karsinomatozun təyini üçün aparıla
- PET törəmənin bəd və ya xoş xassəli olmasını və distal metastazları göstərə bilir.
- Biopsiyanın rolu böyük deyil, rezektabel törəmələrdə tövsiyə edilmir, qeyri – rezektabel törəmələrdə və differensiasiya çətinliyində dəridən keçən üsulla aparılır (spesifikliyi 90%, həssaslığı 50 – 70%)
Diaqnostik meyarları:
- Klinik: zəif əlamətlər və ya ağrı, arıqlama, sarılıq
- Görüntüləmdə: erkən arterial fazada contrast tutan və venoz fazada yuyulan, MRT-də hipointens, ətraf toxumalara invaziv, böyüməyə meylli, baş nahiyyəsində yerləşərək xoledoxu və pankreatik axacağı genişləndirən (“iki axacaq simptomu”) törəmə
- Laborator CA – 19 – 9 artması diaqnozu dəstəkləyir, artmaması inkar etmir.
Mərhələnin təyini
Mərhələnin və rezektabelliyin təyini üçün ilk olaraq KT angioqrafiya və endoskopik USM, sonra diaqnostik laparoskopiya edilir və gərəkərsə, PET istifadə edilir. Mərhələni müəyyənləşdirmək üçün TNM klassifikasiyasına, cərrahi rezektabelliyin təyini üçün metastaz və yerli yayılmalara istinad edilir. Cərrahi rezekstabellik nöqteyi nəzərdən pancreas adenokarsinomasının aşağıdakı formaları ayrıd edilir:
- Rezektabel – distal metastaz yoxdur, yuxarı çöz arteriyası və venasına invaziya və tromb yoxdur, günəş kötüyünün, qaraciyər arteriyasının tutulumu yoxdur, peritoneal karsinomatoz yoxdur.
- Ara mərhələ - distal metastaz yoxdur, yuxarı çöz venasına invaziya var.
- Qeyri-rezektabel – distal metastaz var və ya böyük damarlara invaziya var (yuxarı çöz arteriyasına, günəş kötüyünə, qaraciyər arteriyasına invaziya və ya yuxarı çöz venasına böyük invaziya və trombozu) və ya peritoneal karsinomatoz var.

Müalicəsi
Prinsipi
Radikal müalicəsi rezeksiyadır, rezekiya mümkün olmayanda palliativ müalicələr aparılır.
Metodları
Rezeksiya xəstələrin 10%-dən azında mümkün olur və aşağıdakı hallar rezektabel qəbul edilir:
- Distal metastazlar yoxdur
- Törəmə ilə yuxarı çöz venası arasında yağ toxuması qorunmuşdur
- Qaraciyər, yuxarı çöz və günəş kötüyü arteriyalarına invaziya yoxdur
- Ətraf orqanlara invaziya yoxdur (nisbi)
- Peritoneal karsinomatoz yoxdur
- Rezeksiya həcmi proksimal (pankreato – duodenal rezeksiya), distal və total ola bilər.
Palliativ müalicələrə simptomları və ağırlaşmaları azaltma (ağrı, sarılıq, duodenal və qastrik obstruksiya), kimya və radioterapiya aiddir.
- Ağrını azaltma
- Qeyri – steroid ağrıkəsicilər
- Opioid ağrıkəsicilər
- Seliak qanqlionun kimyəvi bloku
- Torakoskopik splanxik sinir transseksiyası
- Epidural blokada
- Sarılığın müalicəsi (drenaj)
- Cərrahi üsulla bilio-digestiv yanyol (hepatiko – yeyunostomiya, seqment-3 yanyol)
- Endoskopik stent
- Dəridən keçən drenaj, stent
- Doudenal/qastrik obstruksiyanın müalicəsi
- Laparoskopik və ya açıq qastro – yeyunostomiya
- Endoskopik stent
- Kimyaterapiya və radioterapiya
- 5-florurasil ən effetiv dərmanlardan sayılır. Son illər gemsitabin və interferon da əlavə edilir. Kimyaterapiya adyuvant (onarerative), radioterapiya kombinasiyasında və sərbəst şəkildə istifadə edilə bilər.
Müalicə seçimi
MAV xərçənginin müalicə üsulunun seçimində mərhələsinə, xüsusən də rezektabelliyə əsaslanılır:
- Rezektabel hallarda (I mərhələ və bəzi II mərhələ) radikal rezeksiya edilir. Əməliyyatönü dövrdə sarılığı azaltmaq üçün endoskopik stend tövsiyə edilmir, çünki stend radikal əməliyyatı gecikdirir və əməliyyatdan sonrakı ağırlaşmaları artırır.
- Aralıq mərhələdə (bəzi II mərhələ) radikal rezeksiya mümkün olarsa yerinə yetirilir.
- Qeyri – rezektabel törəmələrdə (III və IV mərhələ) palliativ və ya simptomatik müalicələr aparılır. Sarılıqda ilk seçim bilio-digestiv anastomozdur, bu mümükün olmayanda endoskopik və ya perkutan stend tətbiq edilə bilər. Duodenal obstruksiyalarda ilk seçim qastro-enteroanastomozdur.

Şəkil 1. MAV adenokarsinomasında müalicə
Proqnoz
Radikal rezeksiyalardan sonra 5 illik yaşam 5 – 20%, kiçik və limfa tutulumu olmayan törəmələrdə 40% təşkil edir. Qeyri-rezektabel törəmələrdə ortalama yaşam 3-10 ay, hepatik metastazlarda 6 aya qədərdir.
ADACIQ ŞİŞLƏRİNİN ÜMUMİ XARAKTERİSTİKASI
Adacıqların anatomik-fizoiloji xüsusiyyətləri
- MAV adacıqları nеyroеndokrin mənşəli hücеyrə toplusu olub, parеnхimada diffuz şəkildə yеrləşirlər, ümumi çəkiləri 1 q təşkil еdir
- Adacığı təşkil еdən hücеyrələr təbiətcə müхtəlif olub müхtəlif hormon ifraz еdirlər. Bunlara aşağıdakı əsas və əlavə qrup hücеyrələr aiddir.
- A hücеyrə - qlukaqon sintеz еdən hücеyrələr.
- B hücyеrə - insulin sintеz еdən hüceyrələr.
- D hücеyrə - somatostatin ifraz еdən hücеyrələr.
- F hücеyrə - pankrеatik polipеpdid ifraz еdən hücеyrələr.
- D2 hücеyrə - vazoaktiv intеstinal pеpdid ifraz еdən hücеyrələr.
- ЕC hücеyrə - еntеroхromafin hücеyrələri, sеrotonin ifraz еdir.
- Bunlarla yanaşı normal halda MAV adacıqlarında rast gəlməyən hücyеrələr də inkişaf еdə bilər. Məsələn G-hücеyrələr böyüklərin pankrеasında rast gəlmir, lakin qastrinomalarda 50% halda rast gəlirlər.
- Adacıqların hamısında B-hücеyrələr üstünlük təşkil еdir. Lakin A hücеyrələr əsasən gövdə və quyruqda, F hücеyrələri isə başda yеrləşir.
- Adacığın başlıca funksiyası orqanizmdə еnеrji balansının tənzimidir ki, bu da əsasən karbohidrat və yağ mеtabolizminin rеqulyasiyası ilə həyata kеçirilir. Bu tənzimdə insulin və qlukaqon əsas rol oynayır.
- Adacıqlar müəyyən dərəcədə özü-özünü tənzim хüsusiyyətinə malikdirlər. Somatostatin ifrazı azaldır, sеkrеtin və kalsium isə sеkrеsiyanı artırırlar.
Adacıq şişlərinin morfo-funksional xüsusiyyətləri
- Adacıq şişləri funksional aktiv və qеyri-aktiv ola bilərlər. Funksional aktiv şişlər hormon ifraz еdirlər və еndokrin sindromlar törədirlər. Qеyri - aktiv şişlərin isə еndokrin simptomları yoхdur.
- Funksional aktiv şişlər bir nеçə hormon ifraz еdə bilərlər, lakin bunlardan biri üstünlük təşkil еdir və şiş buna görə adlanır:
- Insulinoma
- Qastrinoma
- VIP-oma
- Qlukaqonoma
- Somatostatinoma
- PP-oma
- Digər.
- Həm aktiv, həm də qеyri-aktiv şişlər bəd və хoş хassəli ola bilərlər. Bu ayırım hücеyrə şəklinə görə yoх, mеtastazların olub-olmamasına görə müəyyən еdilir. İnsulinomalandan başqa digər şişlərin əksəriyyəti (>50-60%) bəd хassəlidir.
- Adacıq şişləri təkbaşına - sporadik və ya 1 tip Mittipl Еndokrin Nеoplaziyanın (MЕN) tərkib hissəsi ola bilər. Sonuncuda hipofiz, paratiroid adеnoması və pankrеas şişi birlikdə rast gəlir. MЕN-də ən çoх rast gələn pankrеas şişi PP-oma (80%), qastrinoma (25%) və insulinomadır.
Klinik xüsusiyyətləri
- Adacığın funksional aktiv şişləri ifraz еtdiyi hormona bağlı еndokrin əlamətlərlə, qеyri-aktiv şişlər isə kütlə еffеkti ilə büruzə vеrirlər:
- İnsulinomalarda – hipoqlikеmiya
- Qastrinomalarda - çoхlu хora, mədə hipеrsеkrеsiyası, diarеya
- Qlukaqonomalarda - diabеt, anеmiya, nеkrolitik anеmiya
- Somatostatinomalarda - diabеt, öd daşı, stеatorеya
- VIP-omada - sеkrеtor diarеya
- MЕN ilə birlikdə rast gələnlərə isə paratiroid adеnoması və hipеrkalsеmiya, prolaktinеmiya əlavə olunur.
Diaqnostik xüsusiyyətləri
- Funksional şişlərin diaqnostikasında 2 məsələ ön plana çıхır: şişin növünün dəqiqləşdirilməsi və yеrinin təyini.
- Şişin növünün dəqiqləşdirmək üsün хaraktеrik klinik əlamətlərlə yanaşı qanda uyğun hormonun səviyyəsini təyin еtmək lazımdır. Hormon səviyyəsi yüksək olmadıqda stimulyasiya tеstləri - sеkrеtin tеsti, sеkrеtin+kalsium tеsti aparıla bilər.
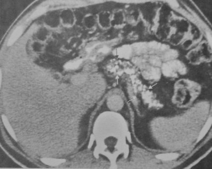
- Şişin yеrinin təyini üçün USM, KT və ya MRT, еndoskopik USM, angioqrafiya istifadə еdilir. Insulinoma və qastrinomalarda bunlar yеtərsiz ola bilər. Bu halda somatostatin rеsеptor izotop müayinəsi aparıla bilər. Əməliyyat vaхtı isə pankrеasın gеniş sərbəstləşdirilməsi və USM mütləq lazımdır.
Müalicə xüsusiyyətləri
- Adacıq şişlərində üç növ müalicə tədbirləri mövcuddur:
- əsas müalicə - şişin çıхarılması
- simptomatik müalicə - еndokrin əlamətlərin azaldılması
- hormon ifrazı və şiş böyüməsini azaldan - kimyəvi tеrapiya.
- Adacıq şişlərinin əsas müalicəsi cərrahi müalicədir. Mümkün olarsa radikal çıхarılır, buna imkan yoхdursa kütləazaldıcı əməliyyat - çıхabilən şişlərin çıхarılması icra olunur.
- Simptomatik müalicə əməliyyatönü hazırlıqda, əməliyyat mümkün olmadıqda еndokrin pozğunluğu azaltmaq üçün aparılır. Insulinomalarda qlükoza vеrilməsi, qastrinomalarda hidrogеn köpüyü blokatorları, nazoqastrik zond, qlukaqonomalarda amin turşu köçürülməsi, VIP-omalarda su-еlеktrolit köçürülməsi хəstələri ağır vəziyyətdən хilas еdə bilir.
- Hormon ifrazını azaltmaq üçün somatostatin (və ya sintеtik analoqu oktrеoid) univеrsal dеprеssantdır. Somatostatin bütün şişlərdə еndokrin simptomları nəzarət altına ala bilir, lakin şişin böyüməsinə ciddi təsir еtmir.
- Şişi kiçiltmək üçün insulinomalarda diazoksid, digər şişlərdə isə strеptazosin doksorubsin, intеrfеron istifadə еdilə bilər.
- Еkzokrin şişlərə nəzərən adacıq şişlərinin proqnozu daha yaхşıdır. Ortalama yaşama müddəti 50 ay təşkil еdir.
İNSULİNOMALAR
Tərifi
İnsulinomalar MAV adacıqlarının B tipli hüceyrələrindən təşkil olunmuş şişlərdir və əksər hallarda hormonal aktivlik göstərərək aşırı insulin sintezinə və hipoqlikemik krizlərə səbəb olurlar.
Rastgəlməsi
Adacıq şişləri arasında ən çox rast gələni və xoşxassəli ehtimalı (90%) ən yüksək olanı insulinomalardır.
Patofiziologiyası
- İnsulinomalar nəzarətsiz olaraq çoxlu insulin ifraz edirlər.
- Aşırı insulin qlukozanın hüceyrələrə keçməsini və qlikogen sintezini sürətləndirərək hipoqlikemiya tərədir.
- Hipoqlikemiya enerjisini əsasən qlukozadan alan beyin hüceyrələrinin aclığına (neyroqlükopeniya) və simpatik hipertonusa səbəb
- Hipoqlikemiya vaxtında aradan qaldırılmazsa xəstələr komaya düşə bilərlər.
Morfologiyası
- İnsulinomalar (80%) hallarda xoş xassəli (tək şiş), 10% halda bədxassəli (çoxdüyünlü yayılmış), 10% hallarda isə MEN I ilə birlikdə rast gəlir.
- İnsulinomalar pankreasın bütün bölgələrinə rast gələ bilir, ölçüləri adətən 1,5 sm-dən kiçik və parenximaya nəzərən sərt
- Ən çox cisim və quyruq nahiyyəsində yerləşirlər. Yayıldıqda isə ən çox qaraciyərdə rast gəlinir.
Klinikası
- Xarakterik əlaməti hipoqlikemik tutmalardır (krizlərdir):
- beyin aclığı əlamətləri - baş ağrısı, kəskin zəifləmə, gözqaralması, yaddaş və orientasiya pozulması, aclıq, həttda koma və s.
- simpatik hipertonus - taxikardiya, soyuq tər, əsəbilik
- Hipoqlikemik tutmalar adətən aclıq vaxtı başlayır və qida qəbulu ilə keçir. Xəstələr tez-tez yeməyə məcbur
- Bəzən də tutmalar yemaəkdən 2-3 saat sonar başlayır.
Diaqnostikası
Şübhə
Aşağıdakı hallarda insulinomadan şübhələnmək lazımdır:
- Aclıq vaxtı hipoqlikemik əlamətlərin ortaya çıxması və qida qəbulu ilə keçməsi.
- Qanda qlükozanın 50 mq/dL-dən aşağı düşməsi.
Dəqiqləşdirmə
Dəqiqləşdirmə üçün klinik və laborator üsullarla əvvəlcə nevroloji əlamətlərin hipoqlikemiya ilə əlaqəli olması, sonra bunun insulin yüksəkliyi ilə əlaqəli olduğu araşdırılır, daha sonra isə hipoqlikemiya və hiperinsulinemiyanı törədən digər xəstəliklər axtarılır.
Diaqnostik kriteriyaları:
- Wipple triadası (neyroqlikopeniya əlamətləri):
- Hipoqlikemik tutmalar (baş ağrısı, kəskin zəifləmə, gözqaralması, yaddaş və orientasiya pozulması, aclıq, həttda koma, taxikardiya, soyuq tər, əsəbilik)
- Qlukozanın 40 – 50 mq/dl (2 – 2,2 mmol/l) aşağı düşməsi
- Qlükoza infuziyası ilə hipoqlikemik əlamətlərin keçməsi
- İnsulin səviyyəsində artma (aclıqda >5 μTV/mL)
- Qeyri – insulinomik hipoqlikemiya və insulinemiyaların inkarı – diabet, insulin qəbulu, andidiabetik dərmanlar, anti-insulin anticismləri, mədə rezeksiyaları, nesidoblastoz)
- Wipple triadasını yoxlamaq üçün xəstə xəstəxanada nəzarət altında 24 – 72 saat ac saxlanılır, insulin, proinsulin, C – pepdid və qlükoza yoxlanılır. Qlükoza 50 – 60 mq/dl-dən aşağı düşdükdə neyroqlikopenik əlamətlərin ortaya çıxması və qlükoza infuziyası ilə keçməsi klinik meyarı təsdiqləyir.
- Hipoqlikemik vəziyyətlərdə hiperinsulinemiyanın olması (aclıqda >5 μTV/ mL) ikinci meyarı təsdiqləyir.
Differensasiya
- Ekzogenoz insulin – C – pepdidin və proinsulinin aşağı olması
- Diabetik dərmanlar – qanda diabetik dərmanların yoxlanılması
- Autoimmin qeyri – insulinoma – insulinə qarşı anticimlərin tapılması
- Non – Insulinoma pankreatogen hipoqlikemiya sindromu (adacıq hipertrofiyası) – uşaqlarda və mədə əməliyyatı keçirənlərdə rast gəlinir, aclıqda yox yeməkdən 2 – 4 saat sonra hipoqlikemiya başlayır.
Yerinin təyini
Şişin əksər hallarda kiçik (<1,5 sm), tək (90%) olması onun tapılmasını çətinləşdirir. Aşağıdakı üsullar istifadə edilə bilər:
- Kontrastlı KT/MRT (5 mm-lik kəsiklərlə aparılan kontrastlı KT/MRT 50 – 60% həssaslıq göstərir.
- Endoskopik USM (ən həssas müayinədir)
- PET-KT
- Portal vena kateterizasiyası
- Oktreotid ssintoqrafiyası
- Əməliyyatdaxili palpasiya və USM
Müalicəsi
İnsulinomaların müalicə tədbirləri aşağıdakılardır:
- Krizlərin profilaktikası və müalicəsi
- Əsas müalicə – cərrahi rezeksiya
- Palliativ müalicə – kimyaterapiya
Krizləri önləmək və baş verdikdə aradan qaldırmaq üçün tez – tez qida qəbulu və qlükoza infuziyası lazımdır.
Şişin çıxarılması insulinomanın radikal müalicəsidir – enukleasiya və ya rezeksiya. Cərrahi müalicənin effektivliyini dəqiq təyin etmək üçün əməliyyat vaxtı qanda qlükoza və insulini təyin etmək lazımdır.
Çoxsaylı şişlərdə (nezidoblastozias və ya adacıq hipertrofiyası) pankreasın hissəvi rezeksiyası edilə bilər.
Konservativ müalicə şiş çıxarılmadıqda, tapılmadıqda, geniş yayılmış hallarda, əməliyyata əks göstəriş olduqda və əməliyyata hazırlıq dövründə aparılır (diazooksid, streptazosin və somatostatin).
QASTRİNOMA (ZOLLİNGER-ELLİSON) SİNDROMU
Tərifi
Qastrinoma G hüceyrələrinin şişi olub, aşırı qastrin ifraz edir, mədə turşusu hipersekresiyası, mədə və 12bb xoraları törədir, əksər hallarda bəd xassəlidir.
Rastgəlməsi
Qastrinoma pankreasın adacıq şişləri arasında insulinomadan sonra ikinci yerdə durur. Adacıqların bədxassəli şişlərindən və I tip MEN-də ən çox rast gələndir.
Patofiziologiyası
- G hüceyrələrin ifraz etdiyi qastrin polipeptid olub, mədənin parietal hüceyrələrindən turşu ifrazını stimulyasiya
- Hiperqastrinemiya 3 əsas səbəbdən baş verə bilər: qastrin ifrazının artması (qastrinoma, G-hüceyrə hiperplaziyası, pilorostenoz,), ləngidici faktorun azalması (hipoxlorhidriya, unudulmuş antrum, vaqotomiya), qastrin metabolizminin zəifləməsi (böyrək yetməzliyi.
- Hiperqastrinemiya mədədən aşırı miqdarda turşu ifrazına səbəb Hipersekresiya mədədə və 12bb-da, hətta proksimal acı bağırsaqda peptik xoraların əmələ gəlməsinə və bağırsaqları qıcıqlandıraraq sekretor ishalın əmələ gəlməsinə səbəb olur.
Patomorfologiyası
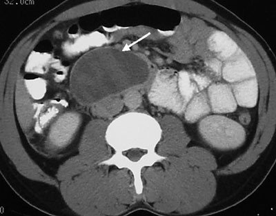
- Qastrinomalar çox kiçik ölçülü (mikroadenoma) və ya 3 sm-dən böyük ölçüdə ola
- Qırmızımtıl rəngli sərt elastik törəmələrdir.
- Şişlərin əsas yerləşmə yeri qastrinoma (Wipple) bölgəsidir (12 bb və mədəaltı vəzinin başı.
- Qastrinomaların təxminən yarısı 12bb-da, digər hissəsi isə mədəaltı vəzidə tapılır.
- Qastrinomalar 25% hallarda MEN ilə birlikdə rast gəlir.
- Qastrinomaların ⅔-si bədxassəli olur (metastaz).
Klinikası
- Qastrinomalar əsasən mədə hipersekresiyasının törətdiyi əlamətlərlə biruzə verirlər:
- Ağrı
- 12bb xorası (80%)
- Hiperasid qastrit
- Sekretor diarreya (aclıq zamanı baş verən sulu ishal) -40%
- Digər
Diaqnostikası
Şübhə
Aşağıdakı hallarda xəstədə qastrinoma şübhəsi var və bunlar qastrinomaya görə yoxlanılmalıdırlar:
- Xoraəleyhinə standart müalicəyə tabe olmayan və ya müalicədən həmən sonra təkrarlayan xora
- Postbulbar xoraları (12bb-ın II, III, IV hissələri, acı bağırsaq xoraları)
- Mədə və 12bb-da çoxlu xoralar
- Xoraya görə aparılan əməliyyatlardan sonra anastomoz xoraları
- Aclıq ishalı olan və antidiaretiklərə tabe olmayan xəstələr
- Paratiroid adenoması (hiperkalsemiyası olan) və mədə 12bb şikayətləri olan xəstələr
Dəqiqləşdirmə
- Qastrinomaya şübhə olarsa turşu hiperseksresiyası, hiperqastrinemiya axtarılmadır və bunları törədən digər xəstəliklər araşdırılmalıdır. Bu məqsədlə klinik laborator və görüntüləmə müayinələri aparılır.
- Qastrinomanın diaqnostikasında “olmazsa – olmaz”-“sine non qua” şərtlər:
- Mədə turşu hipersekresiyası (bazal sekresiya >15 mEq/saat) və hiperqastrinemiyanın (>100 pq/mL) birlikdə olması
- Digər xəstəliklərin inkarı
- Hiperqastrinemiyasız turşu hipersekresiyası (hiperasid qastrit, 12bb xorası) və ya hipersekresiyasız hiperqastrinemiya (atrofik qastrit, pernisoz anemiya, vaqotomiya) qastrinoma üçün xarakterik deyil.
- Diaqnostik çətinliklərdə sekretin testi yerinə yetirilir.
Diaqnostik əlamətləri:
- Ağrı, 12bb xorası, hiperasid qastrit, sekretor diarreya və digər
- Mədə turşu hipersekresiyası (bazal sekresiya >15 mEq/saat)
- Hiperqastrinemiya (>100 pq/mL)
- Digər xəstəliklərin inkarı
Yerinin təyini
Lokalizasiyanın təyini üçün kontrastlı KT, MRT, endoskopik USM, sekretin reseptoru izotop müayinəsi, əməliyyatdaxili USM aparılır.
Müalicəsi
Qastrinomaların əsas müalicəsi şişin radikal çıxarılmasıdır.
- Radikal müalicə mümkün olmadıqda (şiş tapılmazsa, metastaz varsa) palliativ üsullar istifadə edilir.
- Kütləazaldıcı cərrahiyyə. Çıxarılabilən kütlələrin çıxarılması əməliyyatıdır, adətən sporadik formada istifadə edilir.
- Antisekretor müalicə. H2 blokatorlar, hidrogen körüyü blokatorları (omeprazol, lansoprazol, rabeprazol və s) yüksək dozada (80 – 120 mq) istifadə edilir.
- Qastrektomiya. Hazırda geniş istifadə edilmir. Hidrogen körüyü blokatorları sekresiyanı nəzarət altında saxlaya bildikləri üçün qastrektomiya az hallarda, xüsusən ağırlaşmaların müalicəsində istifadə edilir.
- Kimyaterapiya. Diazoksid, doxorubiosin, 5-florunasil kombinasiyası metastatik formalarda istifadə edilə bilir.
- Xoşxassəli gedişdə 10 illik yaşama 80%, bədxassəlilərdə isə 30% təşkil edir. MEN formalı qastrinomalarda gediş nisbətən qənaətbəxşdir.
QLÜKAQONOMA
- Qlukaqonoma adacıqların A tipli hüceyrələrin şişi olub, aşırı qlukogen ifraz edirlər.
- Qlükagon insulinin antoqonistidir, qlikolizi, qlukoneogenezi sürətləndirərək qanda qlukozanı artırır, lipolizi və zülal katobolizmini artırır.
- Qanda aşırı miqdarda qlukogen olduqda hiperqlikemiya, lipoliz və aminturşusu azlığı meydana çıxır ki, bu da özünü diabet, arıqlama, anemiya və əlamətlərlə biruzə verir.
- Qlükaqonomaların əksəriyyəti bədxassəli gedişə malikdirlər, metastaz və tez residiv verirlər, radikal əməliyyatdan sonra tam sağalma 30% hallarda mümkündür.
- Dəri dəyişiklikləri (nekrotik miqrasiyaedici eritema, ağız və anus ətrafında rast gələn eritromatoz ləkələr), diabet və anemiya ən çox rast gələn əlamətlərdir.
- Qanda qlükaqonun yüksək olması (>200 pq/ml) qlükaqonoma diaqnozunu dəqiqləşdirir.
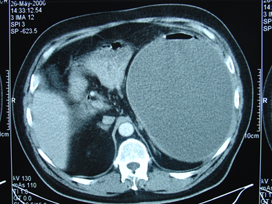
- Kontrastlı KT və ya MRT ilə pankreasda kütlə təyin İnsulinomalardan fərqli olaraq qlükaqonomalar böyük ölçülü olurlar və tapılması çətinlik törətmir. Adətən cisim və quyruq nahiyyəsində yerləşirlər.
- Qlukaqonomalarda aşağıdakı müalicə tədbirləri həyata keçirilir.
- Simptomatik (əməliyyata hazırlamaq üçün aparılır - parenteral qidalandırma, heparin)
- Cərrahi müalicə (əsas müalicədir).
- Palliativ-kimyaterapiya - oktreaotid.
SOMATOSTATİNOMA
- Somatostatinoma adacıqların D hüceyrələri tipli şişi olub, aşırı somatostatin ifrazı ilə xarakterizə olunur, adətən diabet, steatorreya və öddaşı ilə biruzə verir, əksəriyyəti (70%) bədxassəlidir.
- Somatostatin ilk növbədə adacıqların, sonra isə əksər endokrin və ekzokrin vəzilərin sekretor funksiyasına ləngidici təsir göstərən və mədə-bağırsaq qanlanmasını azaldan hormondur.
- Somatinostatinomalar daha çox quyruq bölgəsində yerləşirlər.
- Somatostatinomaların müalicəsi cərrahi eksiziyadır.
VİP-OMA (VERNER-MORRİSON SİNDROMU)
- VİP-oma adacıqların D2 hüceyrələrinin şişi olub aşırı vazointestinal pepdid ifraz edilir, sulu diarreya, hipokalemiya və asidoz törədir, yarısından çoxu bədxassəlidir.
- VİP bağırsaq epitelində məxsusi reseptorlara birləşərək sekresiyanı artıran hormondur.
- VİP-omalar adətən böyük (>2 sm) olurlar və KT, USM və əməliyyat vaxtı tapılmaları çətinlik törətmir.
- Adətən pankreasın distal hissəsində yerləşirlər, 10% hallarda döş qəfəsində ola bililər.
- Diarreya, VİP-in 200 pq/ml-dən yüksək olması və MAV-da kütlə diaqnostik kriteriyalardır.
- Əsas müalicəsi şişin çıxarılmasıdır (enukleasiya, rezeksiya).
- Qeyri-rezektabel hallarda, metastaz olduqda və ya preoperativ hazırlıq məqsədi ilə oktreoid istifadə Oktreoid diarreyanı nəzarət altına ala bilir.
PP-oma
- PP-omalar pankreasın F hüceyrə tipli şişidir və pankreatik polipepdid ifraz edirlər. PP-in fizioloji rolu dəqiq məlum deyil, lakin hesab edlir ki, PP insulin ifrazında rol oynayır.
- PP-omaların dəqiq endokrin əlaməti
QEYRI - FUNKSİONAL ŞİŞLƏR
- Adacıq şişlərinin hormon sintez etməyən şişləri adətən kütlə effekti ilə biruzə verirlər- (sarılıq, təzyiq və s.).
- Tapıldıqları halda 60%-çoxu bədxassəlidirlər. Lakin 5 illik yaşamalar 40-50% təşkil edir.
- Endokrinologiyanın inkişafı bu şişlərin bir qisminin yeni hormonlar sintez etdiyini göstərir.
Özət
Mədəalti vəzin törəmələri mənşəyinə görə birincili və ikincili ola bilər. Birincili şişlər axacaq və asinar epiteldən, adacıq hüceyrələrindən və mezenximal toxumalardan inkişaf edirlər. Birincili törəmələrin əksəriyyəti (90%) epiteldən inkişaf edən toxumalı törəmələrdir, az qismi (7%) kistoz neoplaziyalar və adacıq (3%) şişləridir. Epiteldən inkişaf edən şişlərin əksəriyyəti 90-95% bədxassəli şişlərdir-adenokarsinomalardır, xoş xassəli şişlər-adenomalar nadir rast gəlir (1-2%). Metastatik şişlər birincili şişlərdən 3 dəfə çox rast gəlir.
Mədəaltı vəzi xərçəngi vəzin epitel toxumasından inkişaf edən bəd xasəli törəmədir. Xəstəlik əksər hallarda asimptomatik başlayır, törəmə böyüdükcə yaxın və ətraf olrqnlara invziya edir və əlamətlər ortaya çıxr: ağrı, arıqlama, sarılıq, duodenal obstuksiya, həttda paraneoplastik sindromlar. Diaqnostikasında görüntüləmə müayinələri (KT/MRT) əsas yer tutur, kontrastı tez buraxan (venoz fazada kontrastı buraxan) kütlənin görünməsi xarakterik əlamətdir, biopsiyaya əksər hallrda ehtiyac qalmır. Mərhələsinin təyini üçün KT angioqrafiya standartdır, endoskopik USM və PET edilə bilər. Rezektabel mərhələdə (metastazları və damarlara invaziyası olmayan hallar) radikal rezeskya edilir, qeyri-rezektabel hallarda palliativ müalicələr (sarılıq və duodenal obstruksiyalarda yanyol anastomozları və ya stend, ağrı üçün alqoloji müalicələr və s) və kimyaterapiya edilir.
Adacıq şişləri adacıq hüceyrələrindən inkişaf edən şişərdir, funksional aktiv və qеyri-aktiv, xoş və bəd xassəli ola bilərlər. Funksional aktiv şişlərə insulinoma, qastrinoma, VIP-oma, qlukaqonoma, somatostatinoma, PP-oma aid edilir. Bəd və xoş xəassəilik mеtastazların olub-olmamasına görə müəyyən еdilir. İnsulinomalandan başqa digər şişlərin əksəriyyəti (>50-60%) bəd хassəlidir. Funksional aktiv şişlər ifraz еtdiyi hormona bağlı еndokrin əlamətlərlə, qеyri-aktiv şişlər isə kütlə еffеkti ilə büruzə vеrirlər:
- İnsulinomalarda – hipoqlikеmiya
- Qastrinomalarda - çoхlu хora, mədə hipеrsеkrеsiyası, diarеya
- Qlukaqonomalarda - diabеt, anеmiya, nеkrolitik anеmiya
- Somatostatinomalarda - diabеt, öd daşı, stеatorеya
- VIP-omada - sеkrеtor diarеya
Şişin növünün dəqiqləşdirmək üsün хaraktеrik klinik əlamətlərlə yanaşı qanda uyğun hormonun səviyyəsini təyin еtmək lazımdır. Hormon səviyyəsi yüksək olmadıqda stimulyasiya tеstləri - sеkrеtin tеsti, sеkrеtin+kalsium tеsti aparıla bilər. Şişin yеrinin təyini üçün USM, KT və ya MRT, еndoskopik USM, angioqrafiya, PET-KT, somatostatin rеsеptor izotop müayinəsi aparıla bilər. Adacıq şişlərinin əsas müalicəsi cərrahi müalicədir: mümkün olarsa radikal çıхarılır, buna imkan yoхdursa kütləazaldıcı əməliyyatlar icra olunur. Bununla yanaşı simptomatik (insulinomalarda qlükoza vеrilməsi, qastrinomalarda hidrogеn köpüyü blokatorları, nazoqastrik zond, qlukaqonomalarda amin turşu köçürülməsi, VIP-omalarda su-еlеktrolit köçürülməsi və s) və hormon ifrazını azaltmaq üçün somatostatin istifadə edilir.
MƏDƏALTI VƏZİ TÖRƏMƏLRİ ÜZRƏ SUALLAR
N.Y.Bayramov, A.K.Səfiyeva, F.Əhmədov
MAV xərçəngi
|
MAV xərçəngi nə deməkdir?
|
Axacaq hüceyrələrindən inkişaf edən pankreasın adenokarsinoması
|
|
“Pankreas xərçəngində 80%” qaydası nə deməkdir?
|
- 80%-indən çoxu diktal adenokarsinomadır
- 80%-ə yaxını baş nahiyyəsində olur
- 80%-dən çoxunda ağrı olur
- 80%-dən çoxu qeyri-rezektabel olur
- Baş nahiyyəsində yerləşənlərin 80%-ə yaxınında sarılıq tapılır
|
|
Risk faktorlar hansılardır?
|
Siqaret
Alkoqolizm
Çox yağlı qidalanma
Xroniki pankreatit
Şəkərli diabet
Genetk
|
|
Kişi: Qadın nisbəti nə qədərdir?
|
3:2
|
|
Hansı yaşda daha çox rast gəlir?
|
60 yaşdan yuxarı
|
|
Hansı növləri vardır?
|
Duktal (90%)
Asinar
|
|
Pankreasin başında rastgəlmə ehtimalı nə qədərdir?
|
2/3-si pankreasin başında, 1/3 cismində və quyruğunda rastlanır
|
|
Nəyə görə pankreasın quyruğunda olan şişlərin çoxu rezektabel olmur?
|
Ona görə ki, onlar simptomsuz inkişaf edirlər, aşkarlandıqda çox gec olur, pankreasin başı törəmələri bilar obstruksiya verdiyinə görə tez aşkarlanır.
|
|
Klinik əlamətləri nədən asılıdır?
|
Yerləşməsindən
|
|
Pankreasin başında yerləşən adenokarsinomanın əlamətləri hansılardır?
|
ağrısız sarılıq
arıqlama
qarın ağrıları
kürək ağrıları
zəiflik
qaşınma
anoreksiya
Kurvuazye əlaməti
axolik nəcis və tünd sidik
|
|
Cisim və quyruğunda yerləşən adenokarsinomaların ələmətləri hansılardır?
|
arıqlama və ağrı,
tromboflebit
sarılıq
ürəkbulnma, qusma
halsızlıq
|
|
“Kurvuazye “ simptomu nədir?
|
Palpasiya edilən, ağrısız və gərgin öd kisəsi
|
|
“Kurvuazye” neçə faiz hallarda olur?
|
33% hallarda
|
|
Panakreas başının törəməsinin klassik əlaməti nədir?
|
Agrısız sarılıq
|
|
Hansı laborator dəyişikliklər olur?
|
Bilirubin və xolestatik enzimlərdə (QF, QQT) artma, qaraciyə enzimləri (ALT, AST) arta bilir, şiş markerlərində artma
|
|
Pankreas xərçəngində hansı şiş markeri artır?
|
CA 19-9
|
|
Hansı görüntüləmə müayinələri aparılır?
|
KT/MRT
EndoUSM
PET
|
|
MAV xərçənginin mərhələləri hansılardır?
|
I mərhələ - şiş MAV sərhədindən çıxmır.
II mərhələ - şiş MAV sərhəddindəki yaxın orqanlara sirayət edir (xoledox, peripankreatik yağ və periton, 12bb).
III mərhələ - şiş regional limfa düyünlərinə yayılmışdır.
IV mərhələ - şiş distal metastaz vermiş və ya ətraf orqanlara invaziya etmişdir (dalaq, çöz venası, qapı venası, mədə, yoğun bağırsaq, günəş kötüyü, çöz arteriyası və s.)
|
|
MAV xərçənginin əsas müalicəsi nədir?
|
Radikal rezeksiya
|
|
Hansı əməliyyatlar edilir?
|
Baş nahiyyəsində yerləşən törəmələrdə Whipple əməliyyatı (pankreato-duodenoektomiya), cisim və quyruqda yerləşən törəmələrdə distal pankreatektomiya
|
|
Pankreas xərçəngi hansı halda qeyri-operabel hesab edilir?
|
Uzaq metastazlar varsa
Günəş kötüyü və yuxarı çöz arteriyasına invaziya edirsə
|
|
Mexaniki sarılıq törətmiş pankreas xərçəngində əməliyyatdan əvvəl biliar drenaj (stend) mütləq aparılmalıdırmı?
|
Xeyir!. Əməliyyatönü biliar drenaj əməliyyatı çətinləşdirir və infeksion ağırlaşmaları azaldır.
|
|
Whipple əməliyyatının komponenetləri nələrdir?
|
Xolesisektomiya
Antrektomiya və trunkal vaqotomiya
Pankreatoduodenoektomiya - pankreasın başının və duodenumun rezeksiyası
Pankreatoyeyunostomiya-distal pankreas və yeyunum arasında anastamoz
Xoledoxoyeyunostomiya - yeyunumla ümumi öd axarı arasında anastomoz
Qastroyeyunostomiya-mədə ilə yeyunum arasında anastamoz
|
|
Whipple bağlı ölüm faizi nə qədərdir?
|
Təqribən 3%
|
|
Pilor qoruyucu Whipple nə deməkdir?
|
Antrektm, pilor və 12bb soğanağı saxlanılır, anastomoz soğanaqla yeyunum arasında qoyulur.
|
|
Whippledən sonra hansı ağırlaşmalar ola bilir?
|
Mədə durğunluğu,
anastamoz buraxması (öd, pankreatik anastamozlardan)
pankreatik/bilar fistula
yara infeksiyası
postqastroektomik sindromlar
sepsis
pankreatit
|
|
Postoperativ adyuvant terapiya hansıdır?
|
Kimya terapiyası
|
|
Əgər törəmə qeyri-operabeldirsə və mexaniki sarılıq varsa hansı palliativ müalicəni seçərsiniz?
|
Cərrahi yanyol (hepatiko-yeyunoostomiya və ya seqment-3 yanyolu)
Perkutan və ya endoskopik stend
|
Adacıq şişləri
|
Ən çox yayılmış adacıq törəməsi hansıdır?
|
İnsulinoma
|
|
Panakreatik insulinomada Whipple triadası nədir?
|
- Hipoqlisemiya (Qlükoza < 50 mq/dl)
- Hipoqlisemiya simptomları:
- beyin aclığı əlamətləri - baş ağrısı, kəskin zəifləmə, gözqaralması, yaddaş və orientasiya pozulması, aclıq, hətta koma və s.
- simpatik hipertonus - taxikardiya, soyuq tər, əsəbilik mental statusda dəyişiklik/vasomator q/stabillik
- Şəkər qəbulu ilə əlamətlərin düzəlməsi
|
|
İnsulinomaların yerini təyin etmək üçün ən həssas üsul hansıdır?
|
EndoUSM, PET-KT
|
|
VİPoma nə deməkdir?
|
Adacıqların D2 hüceyrələrinin şişi olub aşırı vazointestinal pepdid ifraz edilir, sulu diarreya, hipokalemiya və asidoz törədir, yarısından çoxu bədxassəlidir.
|
|
Hansı adacıq törəmələrində öd daşı əmələ gəlir?
|
Somatostatinoma (öd kissəsi kontraksiyasının inhibitoru)
|
|
Pankreatik somatostatinomada hansı triada tapılır?
|
öd daşı xəstəliyi
diabet
steatorreya
|
|
Qastrinomalarda hansı əlamət önəmlidir?
|
Turşu hiperseksresiyası və çoxsaylı xoralar
|
|
Qastrinomalarda diarreya niyə baş veriri?
|
Yüksək turşuluq bağırsaqları qıcıqlandıraraq diarreya törədir.
|
|
Pankreatik qlükaqonomada hansı iki klassik əlamət olur olur?
|
Diabet
Nekrotik eritema
|
|
Adacıq şişlərinin bəd və ya xoş xassəli olduğunu necə təyin etmək olar?
|
Metastazların olmasına görə.
|