DİAFRAQMANIN XƏSTƏLİKLƏRİ

N.Y.Bayramov, S.F.Rəfiyev

 

ANATOMİYASI

Diafraqma mərkəzi vətərdən, ətrafı isə eninəzolaqlı əzələdən ibarət olan yastı arakəsmədir. Formaca gümbəzə bənzəyən bu orqan qarın və döş boşluqları arasında yerləşir, öndə döş sümüyünə, arxada 1-3-cü bel fəqərələrinə, yanlarda isə qabırğa qövsünə birləşir. Diafraqmanın bel fəqərələrinə birləşən qalınlaşmış hissələri ayaqcıqlar adlanır.

Diafraqma yuxarıdan plevra ilə aşağıdan isə  periton ilə örtülüdür.

Diafraqmada 3 böyük (aorta, ezofageal, aşağı boş vena) və  kiçik 4 dəliklər mövcuddur. (parasternal – Morgan, Lorrey, plevroperotoneal - Bokdalek)

Qan təchizatı diafraqmal arteriya və venaları vasitəsi, innervasiyası isə diafrqamal sinirlərlə həyata keçirilir.

   

 

Şəkil 1. Diafraqmanın anatomiyası

 

FİZİOLOGİYASI

Diafraqma 3 əsas funksiya yerinə yetirir:

  • Tənəffüs – diafraqma yığıldaqda döş boşluğunun həcmini artırır (diafraqmanın 1 sm-lik yerdəyişməsi döş boşluğunun həcmini təxminən 250-270 ml dəyişir). Nəfəsalmanın 50-70%-i diafraqmanın təqəllüsü hesabına olur.
  • Qarındaxili təzyiqi artırma - defekasiya, gücənmə, qusma,  asqırma və s. kimi fizioloji aktarın həyata keçirilməsinə yardımçı olur.
  • Sərhəd – döş və qarın boşluqları arasında arakəsmə rolunu həyata keçirir.

 

XƏSTƏLİKLƏRİ VƏ MÜAYİNƏLƏRİ

Xəstəlikləri

  • Diafraqmal yırtıqlar
  • Diafraqmanın travmaları
  • Diafraqmanın relaksasiyası
  • Diafraqmanın törəmələri

Müayinələri

  • Klinik
  • Görüntüləmə
    • Rentgenoloji;
    • KT;
    • MRT;
    • Laparoskopiya;
    • Torakoskopiya
  • Digər

 

Əməliyyyatları

  • Girişlər –laparoskopiya, torakoskopiya, laparotomiya, torakotomiya;
  • Diafraqmarafiya;
  • Diafraqmapeksiya;
  • Yamaqla təmir

 

DİAFRAQMANIN YIRTIQLARI

 

Tərifi

Qarındaxili orqanların diafraqmanın təbii və ya qazanılmış dəliklərindən döş boşluğuna keçməsi diafraqmal yırtıqlar adlanır.

 

Növləri

Yerinə görə diafraqamal yırtıqlar aşağıdakı növlərə ayrılır:

  • Hiatal yırtıqlar- ezofageal dəlikdən keçən yırtıqlardır, sürüşkən, paraezofageal və qarışıq tipləri var;
  • Parasternal – Morgan dəliyiyindən keçən yırtıaqlardır;
  • Kosto-vertebral - Bokdalek dəliklərindən keçən yırtıqlardır;
  • Postravmatik – travma və ya əməliyyat nəticəsində diafraqmada meydana çıxan defektlərdən baş verən yırtıqlara deyilir.

 

Səbəbləri

Digər yırtıqlarda olduğu kimi diafarqamal yırtıqların meydana gəlməsində əsas səbəblər divar zəifliyi və qarındaxili təzyiqin artmasıdır.

 

Gedişi və ağırlaşmaları

Diafrqamal yırtıqlar başlanğıcda əlamət vermirlər, lakin böyüməyə və boğulmaya meyilli olduqları üçün ağırlaşma törətmə ehtimalları da yüksəkdir. Gedişində lokalizasiyası  və ölçüsü önəmlidir. Sürüşgən yırtılar  boğulma törətməzlər lakin QERX törədə bilirlər, paraezofageal yırtıqlar isə boöulma törədə bilirlər.  Sağtərəfli parasternal, paravertebral və postravmatik yırtıqların ağırlaşma ehtimalı azdır (qaraciyər üzərini örtür), soltərəfli yırtıqlarda isə ağırlaşma və böyümə ehtimalı yüksəkdir. Aşağıdakı ağırlaşmalar çox rast gəlinir:

  • Boğulma
  • Atelektaz
  • Kardiopulmonar kompressiya
  • Keçməzlik
  • Fistul

 

Klinikası

Kiçik və ağırlaşmamış yırtıqlar adətən asimptomatik olur. Yırtıqlar böyüyərək döşdaxili orqanları sıxdıqda və ya ağırlaşmalar baş verdikdə əlamətlərlə biruzə verir - təngənəfəslik, ağrı, öksürək və s

 

Diaqnostikası

Şübhə

Diafraqmal yırtıqlara sübhə əlamətlərinə təngənəfəslik, döş qəfəsində ağrı aid edilə bilər. Obyektiv döş qəfəsində bağırsaq səsləri, perkutor kütlüyün olması bu şübhəni daha da artırır.

Dəqiqləşdimə

Difrqamal yırtıqların dəqiqləşdirmək üçün kontrastlı müayinələr, bəzən də endoskopik müayinə aparmaq lazım gəlir. Kontrastlı müayinədə mədə  və bağırsaqların döş boşluğunda olması diaqnozu dəqiqləşdirir. KT daha informativdir. Təcili vəziyyətlərdə nazoqastrik zondun yerini rentgenlə təyin etməklə də  postravmatik yırıtıqları  müəyyənləşdirmək olar.

Bəzi hallarda diafrqamal yırtıqları atelektaz, diafraqma relaksasiyası və törəmələrdən diferensasuya etmək lazım gələ bilir. Belə hallarda KT ən vacib müayinə sayılır.

Müalicəsi

Diafrqamal yırtıqların müalicəsi adətən cərrahi bərpadır. Cərrahi üsul isə yırtığın yerindən və ölçüsündən asılı olaraq dəyişir.

 

Hiatal yırtıqlar

Hiatal yırtıq dedikdə diafraqmanın qida borusu dəliyindən baş verən yırtıqlar nəzərdə tutulur. Qastroezofageal birləşmənin yerinə və mədə-qida borusu münasibətinə  görə hiatal yırtıqların sürüşgən, paraezofageal və qarışıq tipləri var. Sürüşgən yırtıqda qastro-ezofageal birləşmə diafraqmadan yuxarıda yerləşir. Paraezofageal yırtıqda qastro-ezofageal birləşmə öz təbii yerində yerləşir (diafraqmadan aşağıda), lakin ətrafından mədə və ya qarındaxili orqanlar döş boşluğuna yerdəyişir. Qarşıq tipdə isə həm qastroezofagela birləşmə, həm də mədə və ya digər orqnalar döş boşluğuna yerdəyişir. Köklük, irəli yaş, toxuma zəifliyi, genetik meyillik hiatal yırtıqlar üçün risk amilləri sayılır.

Sürüşgən yırtıqlar asimptomatik ola bilir və ya   QERX əlamətləri ilə biruzə verir (60%) və boğulma rastlanmır. Paraezofgeal və qarışıq yırtıqlar isə postbrandial diskomfort, köp, disfagiya, qıcqırma  digər əlamətlərlə biruzə verirlər, lakin orqanların boğulması, burulması, qanaxama kimi ağırlaşma törədə bilirlər. Diaqnostikada endoskopiya, rentgenkontrast müayinə və KT istifadə edilir. Sürüşgən yırtıqlar üçün endoskopiyada qastroezofageal birləşmənin diafraqmadan yuxarıda yerləşməsi, aşağı sfinkterik gövşəkliyi, refleks ezofagit və qida borusunun qısalması xarakterikdir. Paraezofagela yırtıqların diaqnostikası üçün KT daha həssas müayinədir və mədənin və digər qarındaxili olrqanların (nazik və yoğun bağırsaqlar, həttda dalaq) qida borusu dəliyindən döş boşluğuna keçməsi xarakterikdir. 

Asimptomatik sürüşgən yırtıqlarda müşahidə tövsiyə edilir, yüngül dərəcəli QERX əlamətləri olanlarda əvvəlcə hidrogen körüyü blokatorları istifadə edilir. Konservativ müalicə ilə yaxşılaşmayan və ya ağır ezofagiti olan  sürüşgən yırtıqlarda cərrahi müalicə - antirefluks əməliyyatları (fundoplikasiya) lazım gəlir. Paraezofageal yırtıqlarda hiatal dəliyin bərpası gündəmə gəlir və bu məqsədlə bioloji yamaqlar ilk seçim sayılır. Yaşlı və ağırlaşması olmayan xəstələrdə izləmə tətbiq edilə bilər.

   

 

Şəkil 2. Fundoplikasiya üsulları

 

Morgan və Bokdalek yırtıqları

Morgan yırtığı diafraqmanın parasternal, Bokdalek yırtığı isə kostovertebral dəliklədindən baş verən yırtıqlardır. Bu yırtıqlar dəliklərin anadangəlmə zəifləməsi nəticəsində baş verir. Hər iki yırtıq proqressiv böyüməyə, atelektaz və boğulma kimi ağırlaşmaya meyillidir. Klinik olaraq adətən təngənəfəslik və ağrı əlamətləri ilə biruzə verirlər. Diaqnozu KT ilə dəqiqləşdirlir, rentgen müayinəsi bəzən faydalı olur. Müalicəsi cərrahi bərpadan ibarətdir və laparaotomik giriş ilk seçimdir. Bərpa üçün yerli toxuma və ya yamaqlar istifadə edilə bilər.

 

Postravmatik yırtıqlar

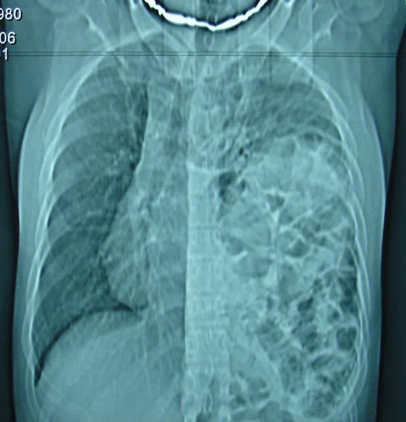
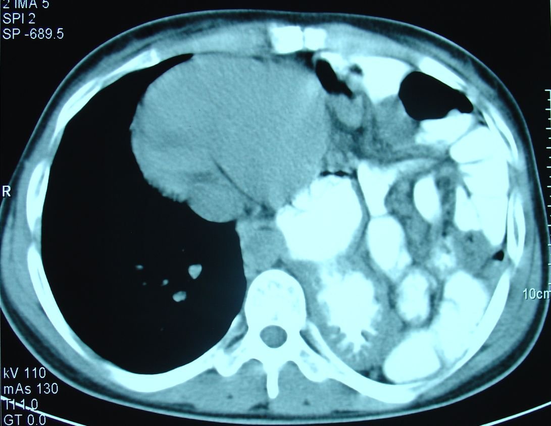
Postravmatik yırtıqlar diafraqmanın yaralanmasından sonra baş verən yırtıqlardır, diafraqmanın hər iki tərəfində və hər hansı bir yerində ola bilir, lakin ən çox sol tərəfdə və əzələ hissəsində rast gəlinir.

Açıq və odlu silah yaralanmalarında diafraqma birbaşa zədələnir, küt travmalarda isə qarının sıxılması və ya ətalatə bağlı yaralanmalar baş verir.

Diafrqama zədələnmələrinin gedişində iki dövrü qeyd etmək olar – erkən kəskin dövr və gec dövr. Erkən kəskin dövr travmadan sonrakı ilk günləri əhatə edir, adətən digər orqanların zədələnməsi, şok  və tənəffüs yetməzliyi əlamətləri ilə biruzə verir. Gec dövr isə diafrqamal yırtıq əlaməti ilə ortaya çıxır.  Sağtərəfli yırtıq defektini qaraciyər örtə bilər və klinik biruzə verməyə bilər.

Diaqnozu rentgenoloji müayənə və KT ilə dəqiqləşdimək olar. Müalicəsi cərrahi bərpadan ibarətdir, laparotomiya, torakotomiya və laparo-torakoskopik yollarla bərpa edilə bilər.

   

 

Şəkil 3. Diafraqma yırtığı


 

DİAFRAQMANIN RELAKSASİYASI

 

Diafraqmanın relaksasiyası əzələ hissəsinin yığılabilməməsi deməkdir.

Relaksasiya anadangəlmə və qazanılmış olur. Anadangəlmə- diafraqma əzələ liflərinin aplaziyası nəticəsində, qazanılmış isə diafraqma sinirinin iflici (zədələnməsi) nəticəsində yaranır. Relaksasiya total və ya hissəvi ola bilir.

Relaksasiya qarın boşluğu orqanlarının döş qəfəsinə doğru yerdəyişməsinə, ağciyərin sıxılmasına və divararalığının yedəyişməsinə səbəb olaur. Nəticədə dənəffüs və hemodinamika pozulur.

 

Klinika və diaqnostika

Yüngül dərəcəli sağtərəfli relaksasiya simptomsuz keçir. Soltərəfli relaksasiya simptomları diafraqmal yırtıq klinikasını xatırladır (ağciyər və divararalığı sıxılması əlamətləri). Lakin yırtıq qapısının olmaması səbəbindən boğulma baş vermir.

Diaqnozu dinamik rentgen və KT ilə dəqiqləşdirlir, qarın orqanlarının döş boşluğuna prolapsusu xarakterik əlamətdir.

 

Müalicəsi

Klinik forma əməliyyata göstərişdir - diafraqmanın duplikaturası və ya yamaqla bəkridilməsi icra olunur.

 

DİAFRAQMA TÖRƏMƏLƏRİ

 

Tərifi və növləri

Diafraqmanın törəmələrinin əksəriyyəti ikincilidir, birincili şişləri nadir rast gəlinir.

Birincili törəmələri epitelial, əzələ, vətər, sinir və damar mənşəli ola bilər, əksəriyyəti xoş xəassəlidir (95%). Xoş xəssəli törəmələr arasında ən çox rast gəlinənləri fibroma, lipoma, neyrofibroma, limfangiomadır, törəmələrin təxminən yarısı sistlərdir

Bədxassəli törəmələr arasında ən çox rast gəlinəni leyomiosarkorma, fibrosarkoma və metastatik adenokarsinomadır.

 

Klinikası

Kiçik (10 sm-dən kiçik) xoşxassəli törəmələr adətən asimptomatik olurlar. Böyük törəmələr özlərini ətraf orqanlara təzyiq, sıxmaya bağlı əlamətlərlə biruzə verə bilirlər. Metastatik törəmələrdə adətən əsas xəstəliyin ələmətləri ön planda olur.

 

Diaqnostikası

 

Şübhə

Aşağıdakı əlamətlər olduqda diafraqmada törəmədən şübhələnmək olar:

  • Tez doyma hissi
  • Epiqastral və ya qabırğaaltı nahiyələrdə palpator kütlə
  • Sağ və ya sol qabırğa altında ağrı
  • Təngənəfəslik

 

Dəqiqləşdirmə

Diafraqma törəmələrini dəqiqləşdirmək üçün KT edilir, törəmənin kistik və ya toxumalı olduğunu məyyənləşdirmək üçün isə USM və ya MRT lazım gəlir. Toxumalı törəmənin diaqnozu isə biopsiya ilə dəqiqləşdirlir.

 

Müalicəsi

Diafrqama törəmələrinin, xüsusən də böyük və simptomatik törəmələrin müalicəsi cərrahi yolladır - şiş radikal xaric olunur, defekt isə yerli toxuma ilə və ya yamaqla bərpa olunur.

İkincili şişlərdə əsas ocaq aradan qaldırılıbsa diafraqmada radikal əməliyyat aparılır.

 

Özət

Diafraqma qarın və döş boşluqları arasında yerləşən əzələ-vətər tərkibli orqandır, arakəsmə, tənəffüs və qarındaxili təzyiqi artırma funskiyalarını daşıyır.

Diafrqamanın xəstəlikləri arasında ən çox rast gəlinənləri yırtıqlardır, lakin  relaksasiya və törəmələrdə rast gəlinə bilir.

Yırtıqlar diafrqamanın təbii və qazanılmış defektlərindən baş verə bilir, yerinə görə hiatal (sürüşgən, parazofageal, qarışıq), Morqan, Bokdalek, postravmatik  ola bilir. Sürüşgən yırtıqlar istisna olmaqla bütün diafrqama yırtıqları boğulma və döşdaxili orqanları sıxma kimi ağırlaşmalar törədə bilərlər. Sürüşgən yırtıqlar üçün qıcıqrma və refluks ezofagit, digərləri üçün isə ağrı və təngənəfəslik xarakterik əlamətlərdir. Sürüşgən yırtıqların diaqnozu adətən endoskopiya ilə, digərlərininki isə rentgen və KT ilə qoyulur. Cərrahi üsul bütün yırtıqlarda əsas müalicədir, sürüşgən yırtıqlarda fundoplikasiya, digərlərində isə plastika tövsiyə edilir və bioloji yamaqlar ilk seçim sayılır.

Diafrqama relaksasiyası əzələ hissəsinin yığılabilməməsidir, andangəlmə əzələ aplasziyası və diafrqamal sinir zədələməsi nəticvəsində baş verə bilir. Klinik olaraq asimptomatik ola bilər və ya yırtıq əlamətləri ilə ortaya çıxa bilir. Diaqnozu dinamik rentgen və KT ilə dəqiqləşdirilir. Simtomatik hallarda cərrahi müalicə- plastic lazım gəlir.

Diafraqma törəmələrinin əksəriyyəti ikincilidir, birincili şişləri nadir rast gəlinir. Birincili törəmələrin əksəriyyəti xoş xassəlidir, kistlər, fibroma, lipoma, neyrofibroma, limfangioma və kistlər.r, törəmələrin təxminən yarısı sistlərdir.

Bədxassəli törəmələr arasında ən çox rast gəlinəni leyomiosarkorma, fibrosarkoma və metastatik adenokarsinomadır.

Kiçik (10 sm-dən kiçik) xoşxassəli törəmələr adətən asimptomatik olur, bəd xassəli törəmələrdə isə əsas xəstəliyin əlamətləri ön planda durur. Diaqnozu klinik və KT əlamətlərinə görə qoyulur. Müalicəsi cərrahi eksiziyadır.

 

Diafrqama üzrə suallar

N.Y.Bayramov, Ş.Ə.Məmmədova

 

Suallar

Cavablar

Diafraqma nədir?

Döş və qarın boşluğu arasında əzələ-vətər araskəsməsi

Funksiyası nədir?

Arakəsmə, tənəffüs və qarındazili təzyiqi artırma

Diafrqamada hansı təbii dəliklər var?

Böyük dəliklər – ezofageal, aortal və aşağı boş vena dəlikləri

Kiçik – parasternal (Morgan) və

kosto-vertebral (Bokdalek)

Diafrqamanın hansı yırtıqları ola bilir?

  • Hiatal (sürüşgən, paraezofageal tipləri var.
  • Parasternal (Morgan)
  • Kosto-vertebral (Bokdalek)
  • Postravmatik

Hiatal yırtıq nədir?

Qida borusu dəliyindən baş verən yırtıq

Hiatal yırtıqların hansı növləri var?

Sürüşkən

Paraezofageal

Qarışıq

Sürüşgən yırtıq nədir?

Mədə və qastroezofageal birləşmənin ezofageal hiatusdan döş boşluğuna yırtığıdır.

Rast gəlmə tezliyi nə qədərdir?

Bütün hiatal yırtıqların 90% ni təşkil edir

Simptomları hansılardır?

Əksər hallarda asimptomatik  gedir. Lakin xəstələrdə reflüks, disfagiya, ağciyər problemləri ola bilər.

Diaqnoz necə qoyulur?

Rentgenoskopiya, manometriya, endoskopiya

Ağırlaşmaları hansılardır?

  • Reflüks
  • Ezofagit
  • Barret ezofaqusu
  • Xərçəng
  • Striktur
  • Xora
  • Qanaxma
  • Aspirasion pnevmoniya

Müalicəsi nədir?

  • 85% hallarda konservativ müalicə:
    • antasidlər
    • HKB və ya H2 blokator
    • yeməkdən sonra başın yuxarı qaldırılması
    • kiçik porslarla yemək
    • yatmazdan öncə yeməmək.
  • Konservativ müalicəyə cavab verməyən hallarda cərrahi müalicə tövsiyə olunur.

Cərrahi müalicəsi nədir?

Laparoskopik fundoplikasiya – Toupet və ya Nissen

Paraezofageal yırtıq nədir?

Mədənin  və digər orqanların ezofageal hiatusdan döş qəfəsinə  keçməsidir, qastroezofageal birləşmə yerini dəyişmir.

Rastgəlmə tezliyi nə qədərdir?

Bütün hiatal yırtıqların 5%-ni təşkil edir.

Hansı əlamətləri var?

Kəskin və ya xroniki mexaniki keçməzlik,  disfagiya, strangulyasiya, bəzən asimptomatik.

Hansı ağırlaşmaları var?

Qanaxma, boğulma, strangulyasiya, obstruksiya

Müalicəsi nədir?

Cərrahi

Postravmatik yırtıq nədir?

Diafrqama yralanamalarından sonra baş verən yırıtq

Relaksasiya nədir?

Diafraqamanın yığıla bilməməsi

Difrqamada ən çox hansı törəmələr rast gəlinir?

İkincili

 

 

Ədəbiyyat

  • Ağayev B.A. Cərrahi xəstəliklər. Bakı 2010.
  • Blackbourne LH. Surgical Recall. 4 edition, 2006, LWW, Philadelphia
  • Doherty GM. Current Diagnosis and Treatment: Surgery,  13th edition, 2010, Lang International Edition.
  • Əmiraslanov Ə.T., Qazıyev A.Y. Onkologiya. Bakı, 2010.
  • İsayev H.B. Cərrahi xəstəliklərin patofizologiyası. Bakı 2005
  • Klingensmith ME, Aziz A, Bharat A, Fox AC, Porembka MR. The Washington Manual of Surgery, 6th edition, 2012, LWW, Philadelphia.
  • Medscape, http://www.medscape.com
  • Oxford Handbook of Clinical Surgery, 3d edition, 2011, Oxford Press
  • Sayek İ. Sayek Temel Cerrahi 1-2. 4-cü baskı, 2016, Güneş Tıp Kitabevleri.
  • Topçubaşov M.A. Xüsusi cərrahlıq. Bakı, 1979
  • UpToDate, http://www.uptodate.com