N.Y.Bayramov, S.A.Əliyev
AĞCİYƏR XƏRÇƏNGİ
Tərifi
Ağciyərdən inkişaf edən bəd xassəli törəmələrdir, klinik-patoloji xüsusiyyətlərinə görə kiçik hüceyrəli və qeyri-kiçik hüceyrəli növləri var. Proqressiv gedişli xəstəliklərdir.
Təsnifatı
Ağciyərin bəd xassəli törəmələri mənbəyinə görə iki qrupa ayrılır: birincili və metastatik. Klassik olaraq ağciyərdən inkişaf edən birincili xərçəng klinik-patoloji xüsusiyyətlərinə görə 2 qrupa ayrılır: kiçik hüceyrəli və qeyri-kiçik hüceyrəli.
Kiçik-hüceyrəli xərçəng – ağciyər xərçənginin 20%-ni təşkil edir, aqressiv gedişlidir, siqaret çəkənlərdə rastlanır, əksər hallarda diffuzdur, cərrahi müalicə nadir hallarda mümkün olur, kimyaterapiya əsas müalicədir. 5 illik yaşama 10% təşkil edir. Bronxogenik neyroendokrin mənşəli olduğu ehtimal edilir.
Qeyri-kiçik hüceyrəli xərçəng – ağciyər xərçənginin 80%-ni təşkil edir, əsas müalicəsi cərrahidir və aşağıdakı növləri var:
- Adenokarsinoma (bronxoalveolar karsinoma)
- Yastı epitel hüceyrəli
- Böyük hüceyrəli
Son illərdə kiçik hüceyrəli xərçəng, bronxial karsinoid, bronxial atipik karsinoid və böyük hüceyrəli xərçəng bronxogen neyroendokrin karsnomaların alt qrupları kimi qəbul olunmaqdadır.
Səbəbləri, risk faktorları
Siqaret və hava çirklənməsi əsas səbəblərdir. Əsrin ilk dekadalarına qədər ağciyər xərçəngi az rast gəlinirdi, lakin 30-cu illərdən sonra siqaretin geniş istifadəsi ilə əlaqədar ağciyər xərçəngi sürətlə artdı və hazırda ikinci yerdə durur (kişilərdə prostat xərçəngindən, qadınlarda süd vəzi xərçəngindən sonra)
Ağciyərin bəzi xəstəlikləri xərçəng riskini artıra bilir. Bunlara vərəmi, xroniki pnevmoniyanı, çapığı və azbestozu aid etmək olar.
Gedişi
Ağciyər xərçəngi proqressiv inkişaf edən xəstəlikdir, yerli olaraq eynitərəfli və əkstərəf ağciyərə, döş divarına, mediastinal orqanlara və uzaq orqanlara yayılır.
Ən çox metastaz verdiyi orqanlar - sümüklər, qaraciyər, böyrəküstü vəzi və beyindir.
Ağciyər xərçənginin gedişi klinik-patoloji formadan asılı olaraq dəyişir:
Kiçik hüceyrəli xərçəng sürətli yerli və distant yayılmağa və paraneoplastik sindrom törətməyə meyillidir və 5 illik yaşama 10%-dən azdır.
Qeyri-kiçik hüceyrəli xərçəngin gedişi patoloji formasından asılı olaraq dəyişir:
- Adenokarsinomalar çapıq toxuma ilə əlaqəli olub, periferik yerləşirlər, tez yayılmağa və hematogen metastaza meyillidir.
- Yastı hüceyrəli xərçəng siqaretlə sıx əlaqəlidir, əksəriyyəti mərkəzi yerləşir, yavaş inkişaf edir və gec metastaz verir.
- Böyük hüceyrəli xərçəng adətən periferiyada yerləşir və yüksək bədxassəlilik daşıyır.
Mərhələləri
Yayılma dərəcəsini qiymətləndirmək üçün klinik və TNM təsnifatları istifadə edilir. TNM təsnifatına görə ağciyər xərçənginin aşağıdakı 4 mərhələsi ayırd edilir:
|
I mərhələ
|
IA mərhələ
- Törəmə 3 sm-dən kiçikdir, limfa düyününə və distal orqanlara metastaz yoxdur (T1N0M0)
IB mərhələ
- Törəmə 3 sm-dən böyükdür, limfa düyününə və distal orqanlara metastaz yoxdur (T2N0M0)
|

|
|
II mərhələ
|
IIA mərhələ
- Törəmə 3 sm-dən kiçikdir, ağciyərdə və ya eyni tərəfdəki hilusda pozitiv limfa düyünü var, uzaq metastaz yoxdur (T1N1M0)
IIB mərhələ
- Törəmə 3 sm-dən böyükdür, ağciyərdə və ya eyni tərəfdəki hilusda pozitiv limfa düyünü var, uzaq metastaz yoxdur (T2N1M0)
- Törəmə döş divarına, diafraqmaya, mediastinal plevraya, perikarda invaziya etmişdir, traxeya bifurkasiyasından 2 sm uzaqdadır, limfatik və uzaq yayılma yoxdur (T3N0M0)
|

|
|
IIIA mərhələ
|
- Törəmə döş divarına, diafraqmaya, mediastinal plevraya, perikarda invaziya etmişdir, traxeya bifurkasiyasından 2 sm uzaqdadır, ağciyərdə və ya eyni tərəfdəki hilusda pozitiv limfa düyünü var, uzaq yayılma yoxdur (T3N1M0)
- Törəmə mediastinal orqanlara invaziya etməmişdir, lakin eyni tərəfdəki mediastinal və ya subkranial limfa düyünlərinə yayılma var, uzaq metastaz yoxdur (T1-2 N2M0).
|
 |
|
IIIB mərhələ
|
- Törəmə mediastinal orqanlara və ya əks tərəfdəki limfa düyünlərə yayılmışdır, lakin distal metastaz yoxdur.
|
 |
|
IV mərhələ
|
|
|
Şəkil 10. Ağciyər absesinin yaranma mexanizmləri və gedişi
Klinik təsnifatda ağciyər xərçəngi 3 mərhələyə bölünür:
- Erkən mərhələ - mediastinal yayılma yoxdur (I-II mərhələlər)
- Yerli yayılmış mərhələ - mediastinuma yayılma var (IIIA və B mərhələlər)
- Metastaz mərhələsi - distal metastazlar var (IV mərhələ) (Şəkil 10).
Klinikası
Ağciyər xərçəngi klinik olaraq bir neçə formada ortaya çıxa bilir:
- Asimptomatik və ya zəif klinik əlamətlər adətən erkən mərhələlərdə rastlanır.
- Bronxopulmonar əlamətlər – öskürək, siqaret çəkənlərdə öskürək xarakterinin dəyişməsi, qanhayxırma, bəlğəm ifrazının artması, təngnəfəslik, pnevmoniya əlamətləri və s.
- Ekstrapulmonar əlamətlər – döş qəfəsi ağrısı, səsin dəyişməsi, yuxarı boş vena simptomu, Horner simptomu və s.
- Paraneoplastik sindromlar – Cushing sindromu, şəkərsiz diabet, hiperkalsemiya və s.
Diaqnostikası
Prinsip
Ağciyər xərçənginin diaqnozu biopsiya ilə dəqiqləşdirilir, görüntüləmə və cərrahi üsullarla mərhələsi təyin olunur.
Şübhə
Ağciyər xərçənginə klinik və görüntüləmə əlamətləri şübhə yarada bilər:
- Klinik şübhə əlamətlərinə bronxopulmonar, ekstrapulmonar və paraneoplastik əlamətləri aid etmək olar.
- Görüntüləmə əlamətlərinə rentgenoloji və KT müayinələrində ağciyərdə kütlə (kütlələr), bronxoskopiyada bronxial kütlənin görünməsini, USM və KT-də qaraciyərdə, sümüklərdə, böyrəküstü vəzidə və beyində kütlələrin tapılmasını aid etmək olar.
Dəqiqləşdirmə
Ağciyər xərçəngini dəqiqləşdirmək üçün törəmədən biopsiya götürmək lazımdır. Biopsiya bronxoskopik, perkutan iynə və ya torakoskopiya, torakotomiya ilə aparıla bilər. Biopsiya xərçəngin olub-olmaması ilə yanaşı histoloji tipini də müəyyənləşdirməyə imkan verir.
Ağciyər xərçənginin diaqnostik əlamətləri:
- Klinik olaraq bronxo-pulmonar, ekstrapulmonar, paraneoplastik əlamətlər , bəzən də asimptomatik
- Biopsiyada xərçəng hüceyrələri
Mərhələnin təyini
Ağciyər xərçənginin mərhələsini təyin etmək üçün törəmənin ölçüsünü, mediastinal strukturlara, limfa düyünlərinə və uzaq orqanlara yayılmanı yoxlamaq lazımdır:
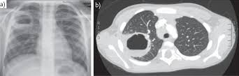
- Mediastinal strukturlara yayılmanı dəqiqləşdirmək üçün KT və endobronxial USM ilk seçimdir (Şəkil 11).
- Mediastinal limfa düyünlərinə yayılmanı qiymətləndirmək üçün əvvəllər mediastinoskopiya çox istifadə edilirdi, hazırda endobronxial USM və PET-KT geniş tətbiq edilməyə başlamışdır.
- Uzaq metastazaları təyin etmək üçün ilk növbədə abdominal KT (böyrəküstü vəzə və qaraciyərə yayılmanı qiymətləndirmə) edilir, sümüklərə və beyinə metastazı yoxlamaq üçün PET-KT tətbiq edilir.
- Mərhələnin dəqiq təyini, xüsusən də, yerli yayılma dərəcəsi əsasən əməliyyat vaxtı müəyyənləşdirilir.
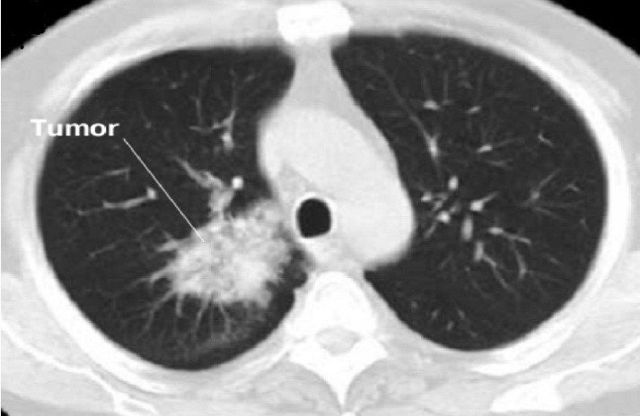
Şəkil 11. Ağciyər xərçənginin diaqnostikası (KT).
Müalicəsi
Ağciyər xərçəngində müalicə tədbirləri xəstəliyin klinik-patoloji formasından və mərhələsindən asılı olaraq dəyişir:
- Kiçik-hüceyrəli karsinomada kimyaterapiya əsas müalicədir. Çox az hallarda erkən mərhələdə tapılan kiçik hüceyrəli xərçəngdə əməliyyat edilə bilir, lakin kimyaterapiya mütləq aparılır. Son illər hədəf müalicələri bu sahədə ümidlər yaratmaqdadır.
- Qeyri-kiçik hüceyrəli karsinomada əsas müalicə cərrahidir (lobektomiya və pulmonektomiya), göstərişə görə kimyaterapiya edilə bilər (Şəkil 12).
Ağciyər xərçənginin rezeksiya edilə bilməsi üçün 3 əsas şərt olmalıdır (rezektabellik meyarları):
- xərçəng rezektabel olmalıdır – bir tərəfdə yerləşən, mediastinuma az yayılmış və distal metastazlar olmamalıdır (I,II,IIIA mərhələlər)
- ağciyərin funksional rezervləri adekvat olmalıdır: FEV1 lobektomiya üçün 0.8-1 litrdən çox, pulmonektomiya üçün isə 2 litrdən çox olmalıdır, hiperkapniya olmamalıdır (arterial qanda karbon qazının təzyiqi 45 mm Hg st-dən az olmalıdır).
- əməliyyata ümumi əks göstəriş olmamalıdır.
Ağciyər rezeksiyasına əks göstərişlər:
- Distal metastazlar (təksaylı beyin metastazı istisnadır)
- Yuxarı boş vena sindromu
- Hər iki bronxu tutan törəmə
- Əks tərəfdəki və yuxarıdakı limfa düyünlərinə metastaz
- Plevral mayedə bədxassəli hüceyrələr
- FEV1 1 litrdən az olarsa
- Hiperkapniya (arterial qanda PaCO2 45 mm Hg st-dən çoxdursa)
- Miokard infarktı
Müalicə seçimi mərhələdən asılıdır :
- Erkən mərhələdə (I-II mərhələ) – rezeksiya edilir (lobektomiya və ya pulmonektomiya), kimyaterapiya əlavə oluna bilər.
- Yerli yayılmış, lakin rezektabel mərhələdə (IIIA mərhələ) əməliyyatönü kimyaterapiya və rezeksiya edilir, əməliyyatdan sonra radioterapiya edilə bilir
- Yerli yayılmış, lakin qeyri-rezektabel mərhələdə kimya-radioterapiya tövsiyə edilir.
- Metastatik mərhələdə isə kimyaterapiya və simptomatik müalicələr tövsiyə edilir.

Şəkil 12. Ağciyər xərçəngində müalicə yanaşması
Özət
Ağciyərin törəmələri bəd və xoş xassəli ola bilər. Ağciyərin bəd xassəli törəmələri mənbəyinə görə iki qrupa ayrılır: birincili və metastatik.
Birincili ağciyər xərçənginin klinik-patoloji xüsusiyyətlərinə görə 2 qrupu var – kiçik hüceyrəli və qeyri-kiçik hüceyrəli. Kiçik-hüceyrəli xərçəng – ağciyər xərçənginin 20%-ni təşkil edir, aqressiv gedişlidir, siqaret çəkənlərdə rastlanır, əksər hallarda diffuzdur, cərrahi müalicə nadir hallarda mümkün olur, kimyaterapiya əsas müalicədir. 5 illik yaşama 10% təşkil edir. Bronxogenik neyroendokrin mənşəli olduğu ehtimal edilir. Qeyri-kiçik hüceyrəli xərçəng – ağciyər xərçənginin 80%-ni təşkil edir, əsas müalicəsi cərrahidir və adenokarsinoma (bronxoalveolar karsinoma), yastı epitel hüceyrəli və böyük hüceyrəli növlərə ayrılır. Adenokarsinomalar çapıq toxuma ilə əlaqəli olub, periferik yerləşirlər, tez yayılmağa və hematogen metastaza meyillidir. Yastı hüceyrəli xərçəng siqaretlə sıx əlaqəlidir, əksəriyyəti mərkəzi yerləşir, yavaş inkişaf edir və gec metastaz verir. Böyük hüceyrəli xərçəng adətən periferiyada yerləşir və yüksək bədxassəlilik daşıyır. Xəstəlik adətən erkən mərhələdə asimptomatik və ya qeyri-spesifik əlamətlərlə büruzə verir, irəlilədikcə bronxopulmonar (öskürək, öskürək xarakterinin dəyişməsi, qanhayxırma, bəlğəm ifrazının artması, təngnəfəslik, pnevmoniya əlamətləri və s.), ekstrapulmonar (döş qəfəsi ağrısı, səsin dəyişməsi, yuxarı boş vena simptomu, Horner simptomu və s.) hətta paraneoplastik sindromlar ortaya çıxır. Diaqnostikası üçün KT və bronxoskopiya və biopsiya istifadə edilir. Görüntüləmədə kütlə və biopsiyada xərçəng hüceyrələrinin tapılması ilə diaqnoz dəqiqləşdirilir. Mərhələnin təyini üçün klinik və TNM təsnifatı istifadə edilir. Müalicəsi klinik-patoloji formadan və mərhələdən asılı olaraq dəyişir. Kiçik-hüceyrəli karsinomada kimyaterapiya əsas müalicədir. Qeyri-kiçik hüceyrəli karsinomada əsas müalicə cərrahidir (lobektomiya və pulmonektomiya), göstərişə görə kimyaterapiya edilə bilər. Ağciyər xərçəngində rezektabellik meyarları aşağıdakılardır:
- xərçəng rezektabel olmalıdır - bir tərəfdə yerləşən, mediastinuma az yayılmış və distal metastazlar olmamalıdır)
- ağciyərin funksional rezervləri adekvat olmalıdır (FEV1 lobektomiya üçün 0.8-1 litrdən çox, pulmonektomiya üçün isə 2 litrdən çox olmalıdır), hiperkapniya olmamalıdır.
- ümumi əks göstəriş olmamalıdır.
Ağciyər xərçəngi üzrə suallar
N.Y.Bayramov, Ş.Ə.Məmmədova
|
Suallar
|
Cavablar
|
|
Ağciyər xərçəngi nədir?
|
Ağciyərdən inkişaf edən bəd xassəli törəmə
|
|
Rastgəlmə tezliyi nə qədərdir?
|
Kiçik hüceyrəli – 20%
Qeyri-kiçik hüceyrəli – 80%
|
|
Səbəbi və ya risk faktorları nələrdir?
|
Siqaret və hava çirklənməsi əsas səbəblərdir.
Ağciyər vərəmi, çapığı və azbestozu, xroniki pnevmoniya xərçəng riskini artırır
|
|
Ağciyər xərçənginin hansı növü siqaret çəkməyən şəxslərdə müşahidə olunur?
|
Adenokarsinoma
|
|
Hansı klinik-morfoloji formaları var?
|
Kiçik hüceyrəli və qeyri-kiçik hüceyrəli
|
|
Kiçik hüceyrəli ağciyər xərçənginin xarakter xüsusiyyətləri nələrdir?
|
- aqressiv gedişlidir
- paraneoplastik sindrom törətməyə meyillidir
- əksərən diffuzdur
- əsas müalicə kimyaterapiyadır
- 5 illik yaşama 10%
- Bronxogenik neyroendokrin mənşəli
|
|
Qeyri-kiçik hüceyrəli ağciyər xərçənginin hansı növləri var?
|
- Adenokarsinoma (bronxoalveolar karsinoma)
- Yastı epitel hüceyrəli
- Böyük hüceyrəli
|
|
Qeyri-kiçik hüceyrəli ağciyər xərçənginin xarakter xüsusiyyətləri nələrdir?
|
- əsas müalicəsi cərrahidir
- adenokarsinomalar periferik yerləşirlər, tez yayılmağa və hematogen metastaza meyillidir
- yastı hüceyrəli xərçəng əksəriyyəti mərkəzi yerləşir, yavaş inkişaf edir və gec metastaz verir
- böyük hüceyrəli xərçəng adətən periferiyada yerləşir və yüksək bədxassəlilik daşıyır
|
|
Ağciyər xərçənginin klinik olaraq hansı mərhələləri var?
|
- Erkən mərhələ - mediastinal yayılma yoxdur (I-II mərhələlər)
- Yerli yayılmış mərhələ - mesdiastinuma yayılma var (IIIA və B mərhələlər)
- Metastaz mərhələsi – distal metastazlar var (IV mərhələ)
|
|
Gediş xüsusiyyəti necədir?
|
Proqressiv gedişli
|
|
Ağciyər xərçəngi ən çox hansı orqanlara metastaz verir?
|
- Beyin
- Sümük
- Böyrəküstü vəz
- Qaraciyər
- Böyrək
|
|
Klinik əlamətləri hansılardır?
|
- Asimptomatik və ya zəif klinik əlamətlər
- Bronxopulmonar əlamətlər
- öskürək, öskürək xarakterinin dəyişməsi
- qanhayxırma
- bəlğəm ifrazının artması
- təngnəfəslik
- pnevmoniya əlamətləri
- Ekstrapulmonar əlamətlər
- döş qəfəsi ağrısı
- səsin dəyişməsi
- yuxarı boş vena simptomu
- Horner simptomu
- Paraneoplastik sindromlar
- Cushing sindromu
- şəkərsiz diabet
- hiperkalsemiya
- hiperplastik osteoartropatiya
|
|
Hipertrofik pulmonar osteoartropatiya nədir?
|
uzun sümüklərin epifizində və əl sümüklərində periostal proliferasiya (ağciyər xərçəngi olan xəstələrin 10%-də)
|
|
Horner sindromu nədir?
|
Boyun simpatik kələfinin zədələnməsidir (MAP):
- Mioz
- Anhidroz – üzdə bir tərəfli tər vəzlərinin disfunksiyası
- Ptoz
|
|
Hansı xəstələrdə şübhələnmək lazımdır?
|
Klinik və görüntüləmə əlamətləri olan xəstələrdə
|
|
Dəqiqləşdirmək üçün hansı müayinələr lazımdır?
|
- Biopsiya – bronxoskopik, perkutan iynə, torakoskopiya və ya torakotomiya ilə
- KT, PET-KT və endobronxial USM – mediastinal strukturlara yayılmanı və metastazların dəqiqləşdirilməsi
|
|
Diaqnostik kriteriyalarını sadala?
|
- Klinik olaraq bronxo-pulmonar, ekstrapulmonar, paraneoplastik əlamətlər
- Biopsiyada xərçəng hüceyrələri
|
|
Ağciyər xərçənginin rezektabellik meyarları nələrdir?
|
- xərçəng rezektabel olmalıdır - bir tərəfdə yerləşən, mediatinuma az yayılmış və distal metastazlar olmamalı (I,II,IIIA mərhələlər)
- ağciyərin funksional rezervləri adekvat olmalı: lobektomiya üçün FEV1˃0.8-1 L, pulmonektomiya üçün FEV1˃2 L, hiperkapniya olmamalıdır (arterial qanda PCO2 ˂45 mm Hg st)
- əməliyyata ümumi əks göstəriş olmamalı
|
|
Ağciyər rezeksiyasına əks göstərişlər nələrdir?
|
- Distal metastazlar (istisna: təksaylı beyin metastazı)
- Yuxarı boş vena sindromu
- Hər iki bronxu tutan törəmə
- Əks tərəfdəki və yuxarıdakı limfa düyünlərinə metastaz
- Plevral mayedə bədxassəli hüceyrələr
- FEV1˂ 1 L
- Hiperkapniya (arterial qanda PCO2 ˃45 mm Hg st)
- Miokard infarktı
|
|
Erkən mərhələdə (I-II mərhələ) müalicə üsulları hansılardır?
|
Rezeksiya ± kimyaterapiya
|
|
Yerli yayılmış, lakin rezekatabel mərhələdə (IIIA mərhələ) müalicə üsulları hansılardır?
|
Əməliyyatönü kimyaterapiya ± rezeksiya ± əməliyyatdan sonra radioterapiya
|
|
Yerli yayılmış, lakin qeyri-rezektabel mərhələdə müalicə üsulları hansılardır?
|
Kimya-radioterapiya
|
|
Metastatik mərhələdə müalicə üsulları hansılardır?
|
Kimyaterapiya + simtomatik müalicələr
|
AĞCİYƏRİN DİGƏR YENİTÖRƏMƏLƏRİ
Bronxial adenoma
Ağciyərin birincili bəd xassəli törəmələri arasında xərçəngdən sonra ən çox rast gəlinəni bronxial adenomalardır. Histoloji cəhətdən 3 qrupa ayrılır:
- karsinoid törəmələr (85-90%)
- adenoid sistik karsinoma (10%)
- mukoepidermoid karsinoma (5%)
Karsinoid törəmələr neyroendokrin hüceyrələrdən inkişaf edən törəmələrdir, yavaş böyüyür, nadir hallarda karsinoid sindrom törədir.
Adenoid sistik karsinoma traxeyanın aşağı hissələrində rast gəlinir, lokal invaziyaya meyillidir və metastazları gec mərhələdə verir.
Mukoepidermoid törəmələr tüpürcək vəzisinə bənzər toxumadan ibarətdir, tərkibində selik ifraz edən, yastı epitel və aralıq hüceyrələr olur.
- Bronxial adenomalar adətən öskürək və boğulma əlamətləri ilə ortaya çıxır.
- Diaqnozu KT, bronxoskopiya və biopsiya ilə dəqiqləşdirilir.
- Əsas müalicəsi cərrahi yolladır. Yerindən və yayılma dərəcəsindən asılı olaraq lobektomiya, pulmonektomiya və ya bronxial rezeksiya tətbiq edilə bilər.
Xoşxassəli törəmələri
- Ağciyərin birincili xoşxassəli törəmələri çox az rast gəlinir, törəmələr arasında tezliyi 1%-dən azdır.
- Əksəriyyəti hamartomalardır, lakin fibroma, leyomioma, neyrofibroma, mioblastoma da rast gəlinə bilir.
- Xoşxassəli törəmələr əksər hallarda periferiyada yerləşir və kiçik ölçülü olur, ona görə də əlamət vermir. Mərkəzi lokalizasiyalı və böyük törəmələr əlamətlərlə büruzə verirlər.
- Bu törəmələr əksər hallarda təsadüfi müayinələrdə tək düyün kimi aşkar edilir, kalsifikasiyaları olur (10-30%), diaqnozu biopsiya ilə dəqiqləşdirilir.
- Əksər hallarda ekonomik rezeksiya (kənari, seqmentar rezeksiya) yetərlidir, lakin mərkəzi lokalizasiyalı və obstruksiya törədən hallarda bronx rezeksiyası, hətta lobektomiya icra olunur.
Özət
Ağciyərin birincili bəd xassəli törəmələri arasında xərçəngdən sonra ən çox rast gəlinəni bronxial adenomalardır və bunun histoloji cəhətdən 3 növü var (karsinoid, adenoid sistik karsinoma, mukoepidermoid karsinoma). Bronxial adenomalar adətən öskürək və boğulma əlamətləri ilə ortaya çıxır, diaqnozu KT və bronxoskopiya və biopsiya ilə dəqiqləşdirilir, əsas müalicəsi cərrahi yolladır. Yerindən və yayılma dərəcəsindən asılı olaraq lobektomiya, pulmonektomiya və ya bronxial rezeksiya tətbiq edilə bilər.
Ağciyərin birincili xoşxassəli törəmələri çox az rast gəlinir, əksəriyyəti hamartomalardır, lakin fibroma, leyomioma, neyrofibroma, mioblastoma da rast gəlinə bilir. Bu törəmələr əksər hallarda təsadüfi müayinələrdə tək düyün kimi aşkar edilir, kalsifikasiyaları ola bilir, diaqnozu biopsiya ilə dəqiqləşdirilir, müalicəsi adətən cərrahidir.
Ağciyərin digər törəmələri üzrə suallar
N.Y.Bayramov, Ş.Ə.Məmmədova
|
Suallar
|
Cavablar
|
|
Histoloji təsnifatı:
|
- karsinoid törəmələr (85-90%)
- adenoid sistik karsinoma (10%)
- mukoepidermoid karsinoma (5%)
|
|
Karsionid törəmə nədir?
|
Bronxun APUD hüceyrə törəməsidir
|
|
Xarakterik xüsusiyyəti nədir?
|
Yavaş böyümə (lakin malign ola bilir)
|
|
Birincili lokal dəyişikliklər nələrdir?
|
Xırıltılı tənəffüs və bronxial obstruksiya və ya stenoz səbəbindən atelektaz
|
|
Hansı xəstəliklə differensial diaqnostika vacibdir?
|
Bronxial astma
|
|
Diaqnoz necə qoyulmalıdır?
|
Bronxoskopiyada bronx mənfəzinə qabarmış epitellə örtülmüş qırmızı-sarı-bənövşəyi kütlə
|
|
Müalicəsi nədən ibarətdir?
|
- Rezeksiya (limfa düyünlərinin disseksiyası ilə lobektomiya)
- Proksimal bronx lezyonları üçün sleeve rezeksiya
|
|
Traxeobronxial sleeve rezeksiya nədir?
|
Bronx seqmentinin rezeksiyası, uc-uca anastomozun qoyulması, aşağı payın saxlanılması
|
|
Karsinoid törəmənin tam cərrahi rezeksiyasından sonra 5 illik yaşama göstəricisi neçə faizdir?
|
Neqativ düyünlərdə ˃90%
Pozitiv düyünlərdə 66%
|
|
Adenoid sistik karsinomanın xarakterik xüsusiyyətləri nələrdir?
|
- lokal invaziyaya meyillidir
- metastazları gec mərhələdə verir
- traxeyanın aşağı hissələrində rast gəlinir
|
|
Mukoepidermoid törəmələrin xarakterik xüsusiyyətləri nələrdir?
|
- tüpürcək vəzisinə bənzər toxumadan ibarətdir
- tərkibində selik ifraz edən, yastı epitel və aralıq hüceyrələr olur
|
|
Gediş xüsusiyyəti necədir?
|
yavaş böyüyür
|
|
Klinik əlamətləri hansılardır?
|
öskürək və boğulma əlamətləri
|
|
Dəqiqləşdirmək üçün hansı müayinələr lazımdır?
|
- KT
- Bronxoskopiya
- Biopsiya
|
|
Müalicə üsulları hansılardır?
|
Cərrahi
|
|
Əməliyyat üsulları hansılardır?
|
Lobektomiya, pulmonektomiya və ya bronxial rezeksiya
|
|
Proqnozu nədir?
|
Nadir hallarda karsinoid sindrom törədir
|
|
Ağciyərin birincili xoşxassəli törəmələrinin rastgəlmə tezliyi nə qədərdir?
|
Törəmələr arasında rastgəlmə tezliyi 1%-dən azdır
|
|
Ən çox rast gəlinən növü hansıdır?
|
Hamartoma
|
|
Xoş xassəli törəmələrin klinik əlamətləri nələrdir?
|
- Asimptomatik - periferik, kiçik ölçülü olan törəmələr
- Simptomatik - mərkəzi lokalizasiyalı, böyük törəmələr
|
|
Dəqiqləşdirmək üçün hansı müayinələr lazımdır?
|
- təsadüfi müayinələrdə tək düyün kimi aşkar edilir, kalsifikasiyaları olur (10-30)
- biopsiya
|
|
Müalicə üsulları hansılardır?
|
- ekonomik rezeksiya (kənari, seqmentar rezeksiya)
- bronx rezeksiyası, lobektomiya - mərkəzi lokalizasiyalı və obstruksiya törədən hallar
|
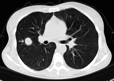
AĞCİYƏRDƏ TƏK DÜYÜN
Tərifi
Görüntüləmə müayinəsində ağciyər parenximası daxilində tapılan təksaylı, asimptomatik düyünə deyilir. Ağciyərdə tapılan törəmələr ölçüsünə görə belə adlanır:
- düyün – ölçüsü 3 sm-dən kiçik törəmələrə deyilir
- kütlə – ölçüsü 3 sm-dən böyük törəmələrə deyilir (bədxassəlilik ehtimalı yüksəkdir).
Təksaylı düyünlərin əksəriyyəti (90%) xoşxassəlidir.
Rastgəlinməsi
KT müayinəsində 25-70% hallarda tapılır
Səbələri
- Bədxassəli xəstəliklər – 5-10%
- Xoşxassəli xəstəliklər – 90-95%
- infeksion düyünlər (vərəm, histoplazma, exinokokk və s.)
- iltihabi qranuloma (revmatiod artrit, fokal pnevmoniya, Wegener qranulamotozu və s.)
- anadangəlmə anomaliyalar (bronxogenik kistlər, arterio-venoz malformasiya və s.)
- xoşxassəli neoplazmalar (hemangioma, hamrtoma, papilyar tumor və s.)
- digər (hematoma, infarkt, mukosele və s.)
Klinikası
Asimptomatikdir, rentgenoloji və ya KT-də tapılır
Diaqnostikası
Prinsip
Ağciyərdə tapılan asimptomatik düyündə əsas diaqnostik məsələ törəmənin bəd və ya xoşxassəli olmasını dəqiqləşdirməkdir. Törəmənin bəd xassəli olması inkar edilmirsə çıxarılmalıdır.
Diaqnostik əlamətləri:
- Pulmonar və digər klinik əlamətlər olmur (asimptomatik).
- Rentgenoloji müayinədə və ya KT-də ağciyər periferiyasında dairəşəkilli düyün var, digər patologiyalar (plevral maye, limfadenopatiya, atelektaz) yoxdur.
Diaqnostik taktika
İlk növbədə törəmənin solitar düyün olduğu araşdırlır. Bunun üçün klinik əlamətlər araşdırılır və incə kəsiklərlə (1 mm) KT edilir.
Pulmonar və digər klinik əlamətlər yoxdursa, törəmənin ölçüsü 3 sm-dən kiçikdirsə, parenxima daxilində yerləşmişsə və digər patologiyalar (plevral maye, atelektaz, limfadenopatiya) tapılmırsa solitar ağciyər düyünü kimi qəbul olunur.
İlkin müayinədə təksaylı düyün tapılan xəstələrdə növbəti mərhələdə törəmənin bəd xassəlilik potensialı qiymətləndirilir. Bunun üçün klinik əlamətlər diqqətlə nəzərdən keçirilir, mümkünsə əvvəlki görüntüləmələrlə müqayisə aparılır və KT nəticələri dəyərləndirilir (ölçüsü, kənarlarının quruluşu, kalsifikasiya xüsusiyyəti, əlavə görüntüləmə əlamətləri).
- Bədxassəlilik potensialı yüksək olanlar (65%) – son iki ildə böyümə, kənarları nahamar, kalsifikasiyası yoxdur və ya asimmetrikdir.
- Bədxassəlilik potensialı ortadır (5-65%) və ya məlum deyildir.
- Bədxassəlilik potensialı aşağı olanlar (5%-dən kiçik) – 0.8 sm-dən kiçik, son iki ildə böyüməyib, kalsifikasiyası var (diffuz, hədəf simtpomu, “partlamış qarğıdalı” simptomu, çoxmərtəbəli kalsifikasiya və s.
Bədxassəlilik potensialı yüksək olanlarda cərrahi biopsiya, aşağı olanlarda isə izləmə (3 ayda bir tomoqrafiya) tövsiyə edilir.
Bədxəssəlilik potensialı dəqiqləşməyən hallarda (dinamika məlum deyil, KT əlamətlərinə görə differensasiya çətinliyi) olarsa PET-KT tövsiyə edilir. Bəd xassəli xəstəliklər metabolik aktiv olduğu üçün radioizotopu tuturlar. Lakin bu əlamət aktiv iltihablarda da rast gəlinir.
PET-KT mümkün deyilsə və ya nəticə qeyri-müəyyən qalırsa biopsiya məsləhətdir. Biopsiya qızıl standart sayılır və perkutan, bronxoskopik, torakoskopik və ya torakotomiya üsulu ilə aparıla bilər. Ən çox tətbiq olunan üsul torakoskopik eksizional biopsiyadır və bu xoşxassəli vəziyyətlər üçün həm də müalicədir (Şəkil 13).

Şəkil 13. Ağciyərdə tək düyündə diaqnostik taktika
Müalicəsi
Təksaylı ağciyər düyünündə xəstəliyin təbiətindən asılı olaraq geniş rezeksiya, məhdud rezeksiya və müşahidə tətbiq edilir.
Bədxassəli törəmələrdə geniş rezeksiya – lobektomiya tövsiyə edilir. Biopsiyada törəmə bədxassəli görünərsə, təcili olaraq lobektomiya edilir.
Xoşxassəli törəmələr torakoskopik və ya torakotomiya ilə çıxrılmışsa (seqmentektomiya, kənari rezeksiya) əlavə müdaxiləyə ehtiyac yoxdur. Perkutan biopsiya ilə dəqiqləşmişsə izləmək lazımdır. Törəmənin xoş xassəli olduğu klinik və radioloji əlamətlərə görə dəqiqləşdirilmişsə izləmək tövsiyə olunur.
Özət
Ağciyərdə tək düyün dedikdə görüntüləmə müayinəsində ağciyər parenximası daxilində tapılan təksaylı, asimptomatik və ölçüsü 3 sm-dən kiçik törəmə nəzərdə tutulur (ölçüsü 3 sm-dən böyük olarsa kütlə adlanır). Tək düyünlərin böyük əksəriyyəti xoşxassəlidir (əksəriyyəti iltihabı və ya infeksion qranulomalardır). Ağciyərdə tapılan asimptomatik düyündə əsas diaqnostik məsələ törəmənin bəd və ya xoşxassəli olmasını dəqiqləşdirməkdir. Bunun üçün klinik əlamətlər, əvvəlki görüntüləmələr və KT nəticələri dəyərləndirilir (ölçüsü, kənarlarının quruluşu, kalsifikasiya xüsusiyyəti, əlavə görüntüləmə əlamətləri). Törəmənin bəd xassəli olması inkar edilmirsə PET-KT və ya biopsiya (eksiziya) edilir.
Ağciyərdə tək düyün üzrə suallar
N.Y.Bayramov, Ş.Ə.Məmmədova
|
Suallar
|
Cavablar
|
|
Ağciyərdə tək düyün nədir?
|
Görüntüləmə müayinəsində ağciyər parenximasında tapılan təksaylı, 3 sm-dən kiçik asimptomatik düyün
|
|
Rastgəlmə tezliyi nə qədərdir?
|
KT müayinəsində 25-70% hallarda tapılır
|
|
Xoş xassəli tək düyünün əsas etioloji faktoru nədir?
|
- İnfeksion qranuloma (80%)
- Hamartoma (10%)
|
|
Dəqiqləşdirmək üçün hansı müayinələr lazımdır?
|
- Döş qəfəsi orqanlarının Rentgen müayinəsi
- incə kəsiklərlə (1 mm) KT
- biopsiya – perkutan, bronxoskopik, torakoskopik və ya torakotomiya
- PET-KT
|
|
Hansı düyünlərin bədxassəlik potensialı yüksək olaraq (65%) qiymətləndirilir?
|
- son iki ildə böyümə
- kənarları nahamar
- kalsifikasiyası yoxdur və ya asimmetrik
|
|
Hansı düyünlərin bədxassəlik potensialı aşağı olaraq (5%) qiymətləndirilir?
|
0.8 sm-dən kiçik
son iki ildə böyüməyən
kalsifikasiyası var (diffuz, hədəf simtpomu, “partlamış qarğıdalı” simptomu, çoxmərtəbəli kalsifikasiya)
|
|
Müalicə üsulları hansılardır?
|
- İzləmə – xoş xassəli törəmələr – 3 ayda bir tomoqrafiya
- Cərrahi
|
|
Əməliyyata göstərişlər nələrdir?
|
Bədxassəli törəmə
|
|
Əməliyyat üsulları hansılardır?
|
Geniş (lobektomiya) və məhdud rezeksiya
|